Цифровой рабочий процесс для имплантации, ориентированной на протезирование, и цифрового перекрестного монтажа: ретроспективное исследование случаев
Машинный перевод
Оригинальная статья написана на языке EN (ссылка для ознакомления) .
Аннотация
Полностью цифровой рабочий процесс в имплантологии постоянно увеличивается. Лечение частично беззубых случаев хорошо задокументировано; тем не менее, полные беззубые случаи все еще представляют собой проблему. Целью данного исследования было представить несколько нововведений в лечении полностью беззубых пациентов с использованием цифровых решений как для установки имплантатов, так и для доставки реставраций. Исследование было спроектировано как ретроспективное исследование случаев, направленное на дальнейшую настройку исследований с более крупной выборкой и более длительным наблюдением. Пациентов, нуждающихся в полной, имплантатно-опорной реставрации, пригласили участвовать в этом исследовании. Зачисленные пациенты были лечены с использованием четырех имплантатов, немедленной нагрузки и окончательной полной реставрации дуги. Пациенты лечились с использованием компьютерной помощи, основанной на шаблонах. Многочастные хирургические шаблоны использовались для точного размещения имплантатов, для управления костью при необходимости и для ускорения и упрощения процедуры немедленной нагрузки. После периода остеоинтеграции были сняты окончательные экстраоральные цифровые отпечатки с использованием новоразработанных скан-аналогов, соединенных в ротовой полости пациента с помощью временных цилиндров и стабилизированных с помощью смолы с низким усадочным эффектом и текучестью. Результаты включали выживаемость имплантатов и протезов, осложнения, точность и удовлетворенность пациентов. Радиографическая оценка, проведенная с предварительным радиопрозрачным алюминиевым шаблоном, использовалась для проверки точности цифровых отпечатков. В общей сложности было установлено 20 имплантатов у пяти пациентов. Все имплантаты остеоинтегрировались без осложнений. Один отпечаток был снят повторно из-за неточности алюминиевого шаблона. В конечном итоге все пациенты были полностью удовлетворены как хирургическими, так и протезными процедурами. В рамках ограничений этой серии случаев многочастные хирургические шаблоны показали обнадеживающие результаты, повышая уверенность клинициста в случае уменьшения кости, постэкстрактивных имплантатов и немедленной нагрузки. Протезный шаблон увеличил точность цифрового отпечатка для полностью беззубых пациентов. Наконец, даже если отпечаток был выполнен повторно, скан-аналог, использованный для экстраоральных цифровых отпечатков, казался многообещающим инструментом. Необходимы постоянные улучшения и дальнейшие исследования для подтверждения этих предварительных результатов.
Введение
Интегрированное планирование лечения с использованием зубных имплантатов является хорошо зарекомендовавшим себя решением. Тем не менее, достижение оптимального положения имплантата, основанного на протезном плане, по-прежнему является критическим и в основном неизвестным аспектом в хирургии на основе имплантатов. Идеальный дизайн протеза может снизить риск технических и биологических осложнений, а также обеспечить адекватное поддержание гигиены полости рта. Более того, точное размещение имплантата, ориентированное на восстановление, предлагает важные долгосрочные преимущества, позволяя добиться благоприятной эстетики и функции, а также оптимального окклюзии и распределения жевательных сил.
Развитие цифрового стоматологического оборудования, включая конусно-лучевую компьютерную томографию, интраоральные сканеры и специализированное программное обеспечение, позволяющее проводить виртуальное планирование имплантации, значительно улучшает направленное размещение имплантатов, делая его более безопасным, простым и доступным лечением для многих.
Существует множество преимуществ точного направления имплантата в соответствии с протезным подходом, таких как наилучший возможный дизайн протеза, лучшая эстетика, оптимизированная нагрузка, функция и поддержание гигиены. Все это позволяет обеспечить долгосрочную стабильность и успех восстановлений на основе имплантатов. Однако точный слепок и точная установка протеза обязательны для правильного планирования имплантатов.
Хотя управление мягкими тканями по-прежнему представляет собой важную проблему в имплантологии, компьютеризированная хирургия на основе шаблонов также изменила хирургическую парадигму использования обширных лоскутов для получения надлежащего обзора хирургической области, поскольку направленная хирургия стала более точной. В этом отношении дизайн лоскута можно оптимизировать для поддержания или увеличения кератинизированной мягкой ткани вокруг реставраций на имплантатах.
Цифровые технологии привели к значительным изменениям в процессе производства хирургических шаблонов. Сегодня в литературе доступны несколько полностью цифровых протоколов для направленного размещения имплантатов, в первую очередь в зависимости от методов поддержки, различаемых у частично и полностью беззубых пациентов. Направленная хирургия у частично беззубых пациентов, с как минимум пятью остаточными зубами в двух квадрантах, в настоящее время очень точна. С другой стороны, направленная хирургия у полностью беззубых пациентов по-прежнему представляет собой проблему. Основное различие между ними заключается в наличии остаточных зубов, которые служат опорной точкой как на хирургическом, так и на протезном уровне.
Целью настоящего исследования является представление гибридного аналогово-цифрового протокола для лечения полностью беззубых пациентов. Были протестированы новые инструменты. Многоразовые хирургические шаблоны без металлических втулок использовались для установки имплантатов и процедур немедленной нагрузки. Окончательные цифровые отпечатки были сняты с помощью интраорального сканера с выделенной ложкой для отпечатков, полученной от функционализированной временной реставрации. Наконец, экстраоральные окончательные цифровые отпечатки были сняты с использованием новых сканирующих аналогов.
Материалы и методы
Это исследование было спроектировано как ретроспективная оценка серии случаев, направленная на настройку дальнейших исследований с большей выборкой и последующим наблюдением. Все здоровые пациенты в возрасте 18 лет и старше, нуждающиеся в полной реабилитации челюсти, были приглашены участвовать в этом исследовании. Были приняты общие критерии исключения (Таблица 1).

Любой пациент в возрасте 18 лет и старше с полной адентией или неудачной зубной аркой хотя бы в одной челюсти, нуждающийся в полном восстановлении на имплантатах, считался подходящим для участия в исследовании. Пациенты были тщательно проинформированы о хирургических и протезных процедурах, преимуществах, потенциальных рисках и осложнениях, а также о любых последующих оценках, необходимых для клинического исследования. Перед вступлением в исследование пациенты должны были подписать информированное согласие. Соблюдались декларация Хельсинки 2013 года, а также принципы надлежащей медицинской практики. Медицинские данные были анонимизированы, чтобы пациенты не могли быть идентифицированы. В связи с ретроспективным характером исследования и стадией исследования (клиническое испытание фазы IV или постмаркетинговое наблюдение) одобрение этического комитета не запрашивалось.
Все хирургические и протезные процедуры выполнялись одним экспертом-имплантологом (MT). Все зарегистрированные пациенты были обработаны с использованием компьютерной/ассистированной, шаблонной хирургии с хирургическими шаблонами без металлических втулок (набор OneGuide, Osstem Implant, Osstem Global Co., Ltd., Сеул, Южная Корея). Все пациенты получили четыре имплантата (Osstem, Osstem Implant), установленные в соответствии с инструкциями производителя. Немедленная нагрузка выполнялась в тот же день операции с использованием предварительно изготовленного временного восстановления с металлическим усилением, основанного на планировании имплантации. Многоразовые хирургические шаблоны использовались как для установки имплантатов, так и для процедуры немедленной нагрузки.
После периода остеоинтеграции были сняты окончательные экстраоральные цифровые отпечатки с помощью индивидуального протезного шаблона (также называемого прототипом эстетической пробы) и новоразработанных скан-аналога, прикрепленных к обычным временным цилиндрам, стабилизированным к шаблону с помощью композитного материала на основе смолы с низким усадочным эффектом и текучестью. Были доставлены окончательные CAD/CAM реставрации полного архи, выполненные из композита и титана. Пациенты находились под наблюдением как минимум четыре месяца после доставки окончательного протеза.
Результаты включали выживаемость имплантата и протеза, любые осложнения, точность цифрового отпечатка, оцененную как клинически, так и радиографически, а также удовлетворенность пациентов, оцененную с помощью анкеты, выданной через четыре месяца после доставки протеза.
- Имплантат считался неудачным, если он проявлял какую-либо подвижность, требующую его удаления, что оценивалось путем постукивания или покачивания головки имплантата металлическими ручками двух инструментов; прогрессирующая потеря краевой кости или инфекция; и любые механические осложнения, делающие имплантат непригодным для использования, хотя он все еще оставался механически стабильным в кости. Протез считался неудачным, если в любом случае его нужно было выполнять снова. Тот же оператор (MT) оценивал неудачи;
- Любые биологические (боль, отек, гнойное выделение и т.д.) и/или механические (ослабление винта, перелом протеза и т.д.) осложнения оценивались и фиксировались тем же оператором (MT);
- Точность проверялась с помощью прямого зрения и тактильного ощущения, выполняемого путем чередующегося давления на алюминиевую пробу, а затем на окончательную металлическую каркасную конструкцию (Техника чередующего давления), закрепленную без винтов, чтобы определить, происходит ли какое-либо движение. Кроме того, тест с одним винтом, предложенный Джемтом и его коллегами, проводился в случае возникновения сомнений. Никаких несоответствий радиопрозрачной алюминиевой пробы, закрепленной только одним затянутым винтом, не наблюдалось. При необходимости были сделаны периапикальные рентгенограммы. Тот же оператор (MT) проводил оба теста с использованием микроскопического увеличения (10× до 16×);
- Удовлетворенность пациентов измерялась с помощью анкеты, выданной через четыре месяца после доставки протеза независимым оценщиком результатов. Были заданы следующие вопросы: Удовлетворены ли вы функцией вашего протеза на имплантатах?; Удовлетворены ли вы эстетическим результатом вашего протеза на имплантатах?; Пошли бы вы на ту же терапию снова? Возможные ответы: да, абсолютно; да, частично; не уверен; не очень; абсолютно нет. Анкету заполнил оператор, не участвовавший ранее в лечении пациента.
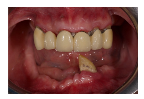
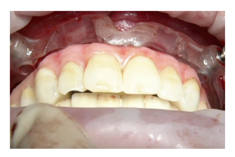
Ниже представлен объяснительный клинический случай. 62-летняя женщина обратилась за вторым мнением из-за существующих съемных частичных протезов, закрепленных на оставшихся естественных элементах, которые были установлены несколько месяцев назад. При клиническом и рентгенологическом обследовании пациентка предъявила основные жалобы на подвижность зубов, кровоточивость десен, боль, дискомфорт, плохую функцию и неэстетичный внешний вид (Рисунки 1 и 2).


Окончательным решением стало переделка обеих реабилитаций. По экономическим причинам пациент вернулся к предыдущему стоматологу с просьбой решить все проблемы. Однако, спустя шесть лет, пациент снова обратился с просьбой решить её жалобы, так как они не были рассмотрены. Предварительные клинические и радиологические анализы показали безнадежное остаточное зубное состояние, характеризующееся тяжелым хроническим периодонтитом, подвижностью, кровоточивостью десен и болью в остаточных верхних зубах, а также одиночным клыком в нижней челюсти. Эстетика и функция также были серьезно нарушены, так как пациент не носил съемные частичные протезы в течение многих лет.
Пациенту были предложены преимущества и ограничения нескольких вариантов лечения. Медицинская история не имела значения; однако пациент не может позволить себе любое лечение, так как страховая практика остается стабильной. На этом этапе пациенту было предложено участвовать в серии курсов по дентальным имплантатам с живыми операциями. Преимущества и недостатки этого предложения были четко обсуждены с пациентом и обобщены в Таблице 2. В конечном итоге, по взаимному согласию было принято решение о протезе на имплантах в нижней челюсти и фиксированной, винтовой, имплантоподдерживаемой реабилитации в верхней челюсти. Подписанное, индивидуализированное, информированное согласие было получено перед началом терапии.

Терапия была разделена на три основных этапа: диагностический (или функциональный), временная и окончательная реабилитация.
Диагностическая терапия была направлена на переобучение пациента, который был беззубым в течение нескольких лет. Были запланированы немедленные, диагностические, полные съемные верхние и нижние протезы. Этот первый этап был полностью аналогичным. Предварительные слепки были сняты с помощью альгината для отливки учебных моделей. Окончательные слепки были сняты с помощью индивидуального ложки для слепков. Центрическая связь и вертикальное измерение окклюзии были зафиксированы с использованием маневра Досона и фонетических звуков соответственно. Мастермодели были установлены в полу-регулируемом артикуляторе с помощью лицевой дуги. После этого немедленный съемный протез был завершен с использованием задних зубов с углом наклона бугорков 0 градусов, чтобы позволить перемещение нижней челюсти. В день первой операции пациенту была проведена местная анестезия (4% артикаин с адреналином 1/100,000, Septanest, Septodont, Матаро, Испания). Все оставшиеся зубы были аккуратно удалены, и костный гребень был моделирован. Немедленный, диагностический, полный съемный протез был затем передан. Основание и окклюзия были отрегулированы, и пациент наблюдался каждые две недели в течение четырех месяцев. На каждом осмотре окклюзия регулировалась для нахождения правильного положения нижней челюсти, без изменения вертикального измерения окклюзии. Через четыре месяца пациент был доволен новой функцией и эстетикой. Следующим шагом было планирование установки имплантатов, ориентированных на протезирование. Существующие, диагностические, функционализированные съемные протезы были дублированы и использованы в качестве индивидуальных ложек для слепков для снятия новых окончательных слепков. Для установки мастермоделей и дубликатов в артикуляторе использовалась техника перекрестного монтажа, сохраняя центровую связь и актуальное вертикальное измерение окклюзии. Наконец, новые временные протезы были изготовлены с полностью анатомической окклюзией (Рисунок 3). На этом этапе была обеспечена двусторонняя сбалансированная окклюзия у всех леченых пациентов.

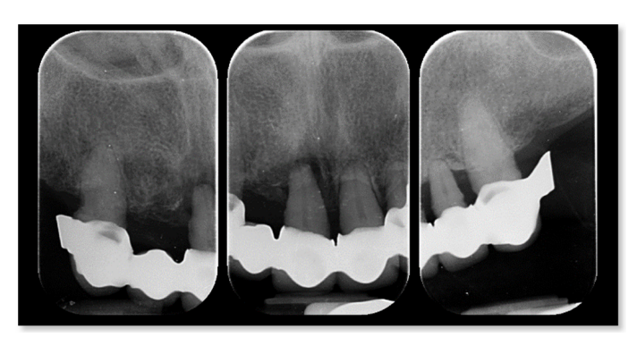
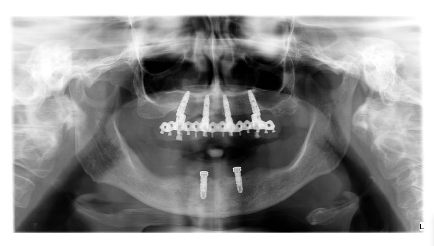
На этом этапе все последующие шаги, от планирования имплантации до доставки окончательных реставраций, были выполнены полностью в цифровом формате. После изготовления новых протезов пациенту был выполнен КТ-сканирование верхней и нижней челюстей по модифицированной технике двойного сканирования. Для последнего на нижнем протезе были применены трехмерные композитные маркеры, а для разделения зубных дуг использован восковый прикус. После этого было выполнено второе сканирование только нижнего протеза с использованием интраорального сканера (Medit i500). В нижней челюсти были запланированы два прямых импланта (Рисунок 4) и установлены (Рисунки 5 и 6) для удержания классического надпротеза.



В верхней челюсти было запланировано четыре имплантата по протоколу All-on-4 (Рисунок 7), чтобы поддерживать фиксированный, винтовой, зубной протез. Кроме того, также было запланировано уменьшение костной ткани верхней челюсти на три-четыре мм.

Для точного размещения имплантата и уменьшения объема кости был напечатан специально разработанный многосоставной хирургический шаблон без металлических втулок. Этот шаблон состоял из трех частей (Рисунок 8).

Базовая часть позволяет стабилизировать шаблон, уменьшать кость и доставлять временные реставрации; имплантированная часть позволяет проводить направленное размещение имплантатов; а индексная часть позволяет стабилизировать шаблон в центральном соотношении перед операцией.
Все имплантаты были установлены с использованием направленной хирургии, но в двух разных хирургических секциях, с интервалом в два месяца. В обеих челюстях анестезия (4% артикаин с адреналином 1/100,000, Septanest, Septodont, Матаро, Испания) была сделана в щечной области и через отверстия хирургических шаблонов примерно за 15 минут до операции. После этого был выполнен муко-периостальный лоскут.
Имплантаты нижней челюсти были запланированы и установлены параллельно, и на имплантаты сразу же были прикручены соединения OT Equator (Rhein’83, Болонья, Италия). Лоскут был зашит, и окончательная надстройка была подключена к системам крепления на кресле. Через неделю, при удалении швов, имплантаты были нагружены. В верхней челюсти была изготовлена временная реставрация с металлическим усилением, основанная на протезном наборе, до операции (Рисунок 9).

В день операции, после поднятия лоскута, была выполнена редукция кости с использованием базовой части хирургического шаблона в качестве ориентира (Рисунок 10). Затем были установлены два прямых передних имплантата и два наклонных задних имплантата в соответствии с протоколом All-on-4, используя имплантационную часть, без металлических втулок (Рисунок 11).


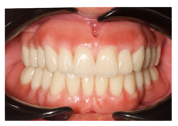
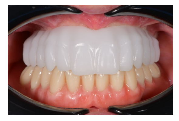
Многоабатментные единицы были прикреплены к имплантатам, и лоскут был зашит. Была доставлена фиксированная, удерживаемая винтами временная реставрация без консоли. Временная реставрация, основанная на установке верхней челюсти, была обработана из PMMA (поли(mетилметакрилат)) и доработана перед доставкой. Временная реставрация была переработана в ротовой полости пациента, используя базовую часть многоразового хирургического шаблона в качестве ориентира для вертикального размера окклюзии и центрового соотношения. Пациент проверялся каждые 2 недели (Рисунки 12–14).



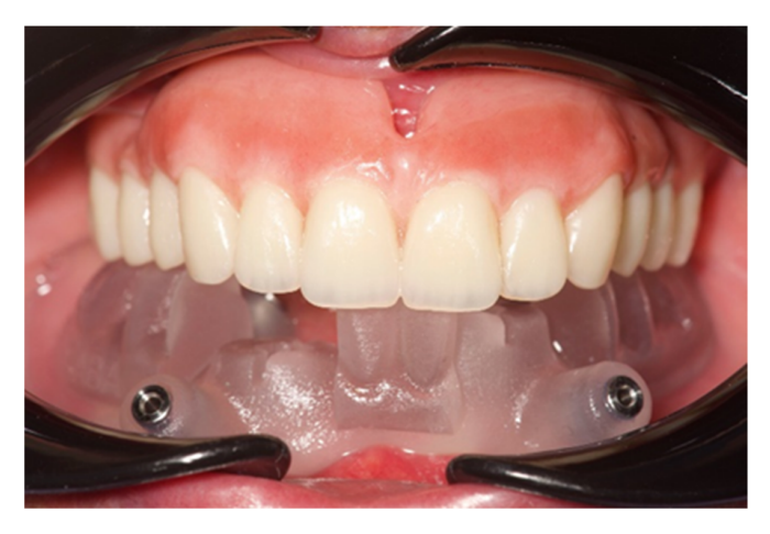
Через четыре месяца была сделана предварительная цифровая слепка функционализированного временного протеза с использованием скан-аналога для многоподдержки (Рисунки 15–17). Затем временный протез был откручен, и был подключен обычный скан-аналог. Была сделана вторая цифровая слепка положения имплантата.



Обе оттиски были выровнены с использованием небного как опорной точки (Рисунок 18). На этом этапе был напечатан эстетический пробник, который затем протестировали в ротовой полости пациента и использовали в качестве окончательной ложки для оттиска (Рисунок 19). После проверки эстетики и функции эстетический пробник был соединен с имплантатами с использованием обычных временных абатментов (Рисунок 20).



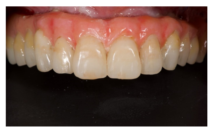
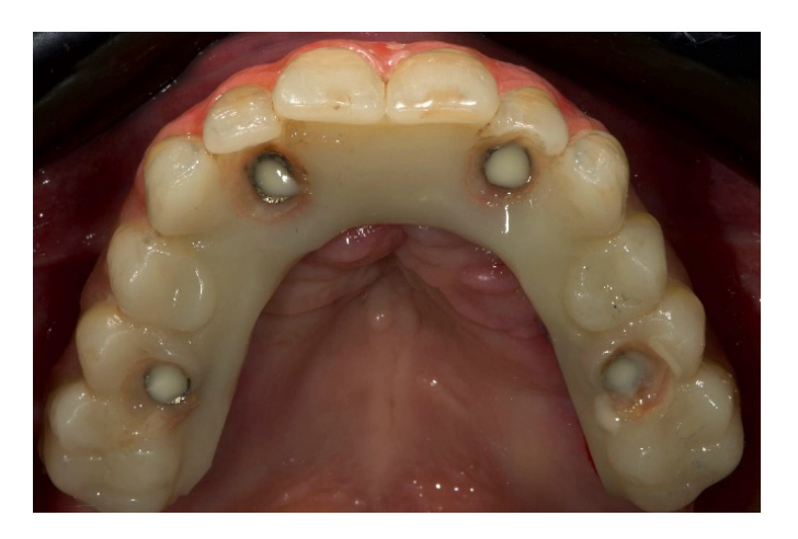
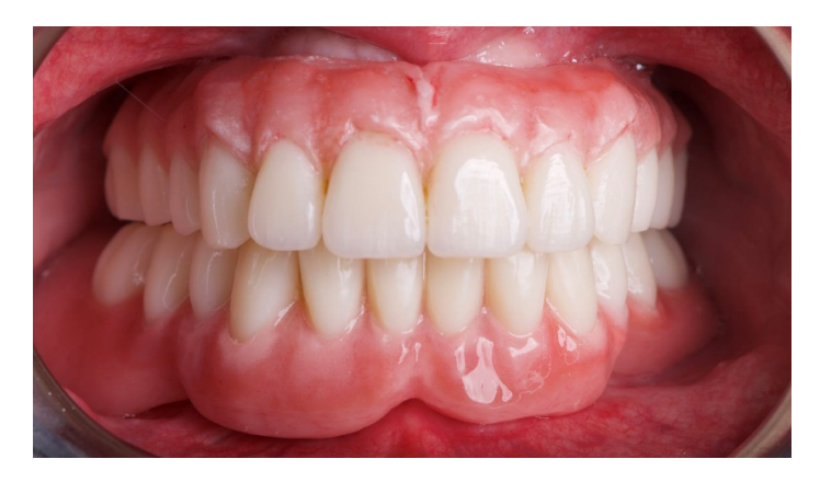
После этого эстетическая примерка была снята. Четыре новые скан-аналоги были подключены к временным абатментам и отсканированы вне рта пациента с помощью обычного экстраорального сканера (Рисунок 21). Прежде чем была изготовлена окончательная CAD/CAM конструкция, клинически и радиографически была протестирована радиопрозрачная алюминиевая конструкция. После этого было выполнено перекрестное монтаж окончательной реставрации (позиция имплантата) с функционализированной временной реставрацией, а также с оригинальным планом. На следующем приеме титановая CAD/CAM конструкция была протестирована в рту пациента. В конце концов, была доставлена фиксированная, удерживаемая винтом, имплантоподдерживаемая реставрация, изготовленная из титана, с композитом в качестве облицовочного материала (Рисунки 22–24). Композит был выбран из-за своей прочности и способности к поглощению ударов. Лингвализированный окклюзия была спроектирована для всех окончательных реставраций, с использованием анатомических зубов для верхнего протеза и модифицированных неанатомических или полуанатомических зубов для нижних протезов.




Результаты
Все имплантаты успешно остеоинтегрировались, и все окончательные протезы функционировали к концу данного предварительного отчета, что привело к 100% выживаемости имплантатов и протезов. Не было зафиксировано биологических и технических осложнений. Однако одна из пяти оттисков была выполнена повторно из-за неточности алюминиевой ложки. В этом случае алюминиевая ложка была разделена, и две части были зафиксированы с использованием специальной светокурящей смолы для имплантатов (EZ-Pattern LC), полимеризованной под УФ/ВИЗ светом 350–480 нм. Кроме того, был сделан гипсовый оттиск. После доставки окончательных реставраций механических осложнений не наблюдалось. Все пациенты были полностью удовлетворены как функциональными, так и эстетическими результатами и были готовы повторить процедуру снова.
Обсуждение
Целью данного исследования было представить несколько нововведений в цифровом подходе к полностью цифровому лечению беззубых пациентов. Однако предложенный рабочий процесс начинался с аналоговой процедуры для изготовления и доставки нового полного съемного протеза, в соответствии с функциональными и эстетическими требованиями пациентов. По мнению авторов, на этом первом этапе аналоговые процедуры даже лучше. После этого первой инновацией стали новые хирургические шаблоны без металлических втулок для направления установки имплантатов, разработанные с двумя-тремя собранными частями. Хирургические шаблоны без металлических втулок уже использовались в последние годы, демонстрируя равную или лучшую точность по сравнению с традиционными шаблонами. С учетом ограничений настоящего исследования, многокомпонентные хирургические шаблоны могут обеспечить безопасную установку имплантатов и немедленную нагрузку, даже в случаях, когда требуется уменьшение костной ткани. Однако эта концепция не нова в стоматологии. Многокомпонентные (собранные заново) радиографические направляющие уже предлагались в литературе для обеспечения протезно-ориентированного подхода, даже в случае немедленных постэкстракционных имплантатов. Основное преимущество заключалось в визуализации полного протезного набора и одновременно в сохранении зубов в ротовой полости пациента до хирургической сессии. Напротив, основным ограничением было то, что хирургический шаблон не мог быть примерен до операции. Полицци и Кантонни применили эту концепцию, используя двухкомпонентную радиографическую направляющую, обманывая программное обеспечение в случае, если экстракция зубов была необходима в момент установки имплантата. Сегодня программное обеспечение для компьютерного проектирования улучшено, что позволяет проводить виртуальную восковую модель в нескольких клинических ситуациях, включая постэкстракционные имплантаты. В настоящем исследовании концепция многокомпонентных инструментов перенесена на хирургические шаблоны. Как только имплантаты были запланированы в правильной, протезно-ориентированной позиции, разрабатывается многокомпонентный хирургический шаблон. Количество собираемых частей зависит от необходимых хирургических процедур, включая уменьшение костной ткани и/или постэкстракционные имплантаты. Следуя этому протоколу, хирургический шаблон полностью настраивается в соответствии с хирургическими потребностями.
Второй инновацией стало представление протезно-ориентированного имплантационного лотка, предназначенного для записи точного цифрового отпечатка для восстановления полного зубного ряда. Талларико и его коллеги в 2017 и 2018 годах представили несколько клинических случаев, демонстрирующих один и тот же протезный шаблон. Спустя несколько лет тот же автор опубликовал in vitro исследование, которое показало, что протезно-ориентированный шаблон для отпечатков значительно улучшает точность и прецизионность полного беззубого зубного ряда, восстановленного с помощью четырех или шести имплантов, делая цифровой отпечаток полного зубного ряда более предсказуемым. Похожие результаты были получены в нескольких клинических случаях Венецией и соавторами. Этот подход не только позволяет передавать межчелюстные и окклюзионные отношения, но также улучшает общую точность цифрового отпечатка. Хорошо известно, что точность отпечатков полного зубного ряда по-прежнему является сложной задачей для устройств интраорального сканирования. С другой стороны, ограниченные клинические различия были обнаружены при сравнении цифровых и традиционных отпечатков, сделанных для восстановления имплантоподдерживаемых частичных реставраций. Для последних основной целью протезно-ориентированного имплантационного лотка является улучшение точности цифровых отпечатков полного зубного ряда, добавляя несколько контрольных точек между сканирующими абатментами. Эта концепция почти аналогична снятию частичного цифрового отпечатка. Кроме того, дизайн протезно-ориентированного имплантационного лотка был основан на временной реставрации, функционализированной в ротовой полости пациента. Поэтому может быть выполнена техника перекрестного монтажа для создания идеальной, эстетичной и функциональной копии временной реставрации. Наконец, эстетику и функцию можно протестировать на приеме, что упрощает доставку окончательной реставрации.
В настоящем исследовании были сделаны экстраоральные окончательные цифровые отпечатки с использованием новоразработанных скан-аналога, в сочетании с традиционными временными цилиндрами, соединенными с имплантатами в ротовой полости пациента. Экстраоральный цифровой отпечаток уже предлагался той же исследовательской группой. Основным преимуществом было преодоление недостатков цифрового отпечатка, таких как точность длиннопротяженных реставраций на нескольких имплантатах, сложная регистрация прикуса полных беззубых дуг и необходимость в кривой обучения. Кроме того, хорошо известно, что точность экстраорального сканера предпочтительнее по сравнению с интраоральными устройствами для сканирования полной дуги. С другой стороны, рисками могут быть искажение положения имплантата из-за разборки комплекса скан-аналога/временного цилиндра от протезного шаблона. В настоящем исследовании был выполнен только один отпечаток снова из-за неточности алюминиевого пробника. Следует отметить, что неудачный отпечаток был первым. Настоящее исследование было спроектировано как серия случаев, направленная на разработку новых инструментов, которые могут облегчить лечение полных беззубых пациентов с использованием цифровых технологий. Более того, неточность соответствовала скан-аналогу. Библиотека была изготовлена на заказ, поэтому возможно, что дальнейшие улучшения могут устранить эту ошибку. На самом деле все последующие четыре отпечатка были точными, без смещений.
Хотя основной целью данного исследования является представление нескольких цифровых инноваций, аналоговая фаза все еще необходима на начальных этапах лечения. В настоящем исследовании все пациенты изначально были реабилитированы с помощью полных съемных протезов, которые были предоставлены в соответствии с функциональными и эстетическими потребностями пациентов. Это позволило нам спланировать имплантаты в правильных позициях, ориентированных на протезирование. Более того, в случае, если у пациентов наблюдалась дисфункциональная окклюзия, начальная реабилитация включает фазу с задними зубами с углом наклона бугорков 0 градусов. Это позволяет изменить положение нижнечелюстной мыщелка.
Тем не менее, за последние годы был достигнут значительный прогресс в цифровой стоматологии. Однако в литературе все еще не хватает последовательных исследований. Основными ограничениями настоящего исследования являются небольшой размер выборки и короткий период наблюдения. Тем не менее, это исследование было разработано как исследование серии случаев, направленное на оценку целесообразности использования многофункционального хирургического шаблона, протезного шаблона, а также аналогов для сканирования. Эти предварительные случаи позволили нам получить обнадеживающие результаты. Все пациенты были полностью удовлетворены, а общие функциональные и эстетические результаты соответствовали критериям хорошей практики в стоматологии. Более того, предложенный полностью цифровой рабочий процесс может привести к потенциальному сокращению времени и затрат, а также связанных с этим проблем для общего лечения беззубых пациентов. Основываясь на этом предварительном отчете, необходимо разработать дальнейшие исследования для тестирования предложенного гибридного рабочего процесса аналог/цифровой, включая новоразработанные цифровые инновации.
Выводы
В рамках ограничений настоящего исследования серии случаев многофункциональный хирургический шаблон показал многообещающие результаты, которые могут повысить хирургическую уверенность в случае редукции кости, постэкстракционных имплантатов и немедленной нагрузки. Протезный шаблон может увеличить точность цифрового слепка для полностью беззубого пациента. Наконец, скан-аналоги, используемые для экстраорального цифрового слепка у кресла, кажутся многообещающим инструментом. Необходимы дальнейшие клинические исследования для подтверждения этих предварительных результатов.
Марко Талларико, Давиде Галиффи, Роберто Скраскья, Маурицио Гуаландри, Лукаш Задрожны, Марта Чайковская, Санто Катапано, Франческо Гранде, Эдоардо Балдони, Ауреа Иммаколата Лумбау, Сильвио Марио Мелони и Милена Писано
Ссылки
- Талларико, М.; Скраскья, Р.; Аннукки, М.; Мелони, С.М.; Лумбау, А.И.; Кошовари, А.; Ханари, Е.; Мартинолли, М. Ошибки в позиционировании имплантатов из-за недостатка планирования: клинический случай новых протезных материалов и решений. Материалы 2020, 13, 1883.
- Талларико, М.; Мелони, С.М. Ретроспективный анализ выживаемости, связанных с шаблоном осложнений и распространенности периимплантита 694 анодированных имплантатов, установленных с использованием компьютерно-ориентированной хирургии: результаты через 1-10 лет наблюдения. Int. J. Oral Maxillofac. Implant. 2017, 32, 1162–1171.
- Д’Хаесе, Ж.; Акерст, Ж.; Висмейер, Д.; Де Бруйн, Х.; Тахмассеб, А. Текущее состояние компьютерно-ориентированной имплантологии. Периодонтология 2000 2017, 73, 121–133.
- Чиччу, М.; Талларико, М. Материалы для зубных имплантатов: текущее состояние и будущие перспективы. Материалы 2021, 14, 371.
- Талларико, М.; Эспозито, М.; Ханари, Е.; Канева, М.; Мелони, С.М. Компьютерно-ориентированное против свободного размещения немедленно загруженных зубных имплантатов: 5-летние результаты после загрузки рандомизированного контролируемого испытания. Eur. J. Oral Implant. 2018, 11, 203–213.
- Талларико, М.; Ханари, Е.; Ким, Й.Ж.; Кокки, Ф.; Мартинолли, М.; Алуши, А.; Балдони, Э.Э.; Мелони, С.М. Точность компьютерно-ассистированного размещения имплантатов на основе шаблона с использованием традиционного слепка и скан-модели или интраорального цифрового слепка: рандомизированное контролируемое испытание с 1 годом наблюдения. Int. J. Oral Implant. 2019, 12, 197–206.
- Венезия, П.; Торселло, Ф.; Сантомауро, В.; Дибелло, В.; Кавалканти, Р. Полный цифровой рабочий процесс для лечения беззубого пациента с направленной хирургией, немедленной нагрузкой и 3D-печатным гибридным протезом: техника BARI 2.0. Клинический случай. Int. J. Environ. Res. Public Health 2019, 16, 5160.
- Талларико, М.; Шиаппа, Д.; Шипани, Ф.; Кокки, Ф.; Аннукки, М.; Ханари, Е. Улучшенный полностью цифровой рабочий процесс для реабилитации беззубого пациента с имплантируемым протезом за 4 приема: клинический случай. J. Oral Sci. Rehabil. 2017, 3, 38–46.
- Барффальди, А.; Майорана, Ч.; Поли, П.П.; Барффальди, А.; Барффальди, М. Предложенный протокол для повышения точности протезных этапов в случае полной модели без модели с полностью направленным компьютерным размещением имплантатов и немедленной нагрузкой. Oral Maxillofac. Surg. 2020, 24, 343–351.
- Талларико, М.; Чайковская, М.; Чиччу, М.; Джардина, Ф.; Минчарелли, А.; Задрожны, Ł.; Парк, С.-Дж.; Мелони, С.М. Точность хирургических шаблонов с металлическими и без металлических втулок в случае частичных реставраций: систематический обзор. J. Dent. 2021, 115, 103852.
- Емт, Т. Неудачи и осложнения в 391 последовательно установленном фиксированном протезе, поддерживаемом имплантатами Бранемарка в беззубых челюстях: исследование лечения с момента установки протеза до первого ежегодного осмотра. Int. J. Oral Maxillofac. Implant. 1991, 6, 270–276.
- Менини, М.; Консерва, Е.; Тальдо, Т.; Бевилаква, М.; Пера, Ф.; Синьори, А.; Пера, П. Способность к поглощению ударов восстановительных материалов для зубных имплантатов: in vitro исследование. Int. J. Prosthodont. 2013, 26, 549–556.
- Талларико, М.; Мартинолли, М.; Ким, Й.-Дж.; Кокки, Ф.; Мелони, С.М.; Алуши, А.; Ханари, Е. Точность компьютерно-ассистированного размещения имплантатов на основе шаблона с использованием двух различных хирургических шаблонов, разработанных с металлическими или без металлических втулок: рандомизированное контролируемое испытание. Dent. J. 2019, 7, 41.
