Бимаксилярный прогресс с эстетическим и функциональным улучшением
Машинный перевод
Оригинальная статья написана на языке ES (ссылка для ознакомления) .
Лечение зубочелюстных деформаций значительно эволюционировало за последние десять лет. Знание сосудистых вкладов в остеотомии – разработанное Уильямом Беллом – универсальность остеотомий верхней челюсти, нижней челюсти и подбородка для вызова смещений в трех измерениях пространства и использование жесткой фиксации позволяют выполнять остеотомии, ранее считавшиеся нестабильными, такие как противочасовая ротация и/или большие смещения верхнечелюстно-нижнечелюстные.
Достижения в цифровом планировании и улучшение анестезирующих техник позволяют значительно развить и упростить ортогнатическую хирургию.
Цель уже не только в том, чтобы получить адекватный и стабильный прикус. Наши знания и развитие этих процедур позволяют нам добиться улучшения зубного и окклюзионного состояния, которое будет стабильным и с минимальными периодонтальными и/или суставными последствиями, но также и значительного улучшения дыхания и эстетических целей, которые трудно достичь с помощью других хирургических техник. Предсказуемость ортогнатической хирургии превосходит любую технику реконструкции лица, а также ее долговечность.
Случаи класса II из-за гипоплазии нижней челюсти, которые обычно лечились с помощью двух верхних экстракций, получили выгоду от этих достижений в ортогнатической хирургии. Таким образом, нашим пациентам предлагаются гораздо более удовлетворительные результаты.
Клинический случай

Пациент 20 лет обращается на консультацию для оценки и ортодонтического лечения. Его причина обращения - "незначительное скученность верхних резцов". После изучения случая мы видим, что мы имеем дело с скелетным классом II из-за гипоплазии нижней челюсти, очень компенсированным дентально-альвеолярно с выступанием нижних резцов.
Такие случаи у пациента без роста мы обычно лечили с помощью четырех экстракций для компенсации класса II и выступания нижних резцов.
Этот план ортодонтического лечения ухудшил бы соотношение губы и зуба, увеличивая гингивальную улыбку и, конечно, не улучшил бы проекцию нижней трети, сохраняя нижнюю челюсть отодвинутой назад.
Современные достижения в ортогнатической хирургии делают так, что ортодонтическая компенсация класса II больше не является нашим первым вариантом лечения, и мы рассматриваем такие случаи с комбинированной точки зрения ортодонтии и ортогнатической хирургии.
Фасциальный анализ

В лицевом анализе (рис. 2) мы обнаружили легкий вертикальный избыток верхней челюсти, лабиальную недостаточность и разрыв, с чрезмерной экспозицией резцов в покое и эверсией нижней губы.
В позиции улыбки пациент демонстрирует увеличенное соотношение губа-зуб. Максиллярная плоскость выровнена, и наблюдается асимметрия в десневых краях.
В исследовании профиля (рис. 3) наблюдается недостаток поддержки нижней трети. Это профиль микрогнатии с эверсией нижней губы, уменьшенным цервикомандибулярным расстоянием и плохо определенным цервикомандибулярным углом, с дряблостью и двойным подбородком.

Дентальный анализ
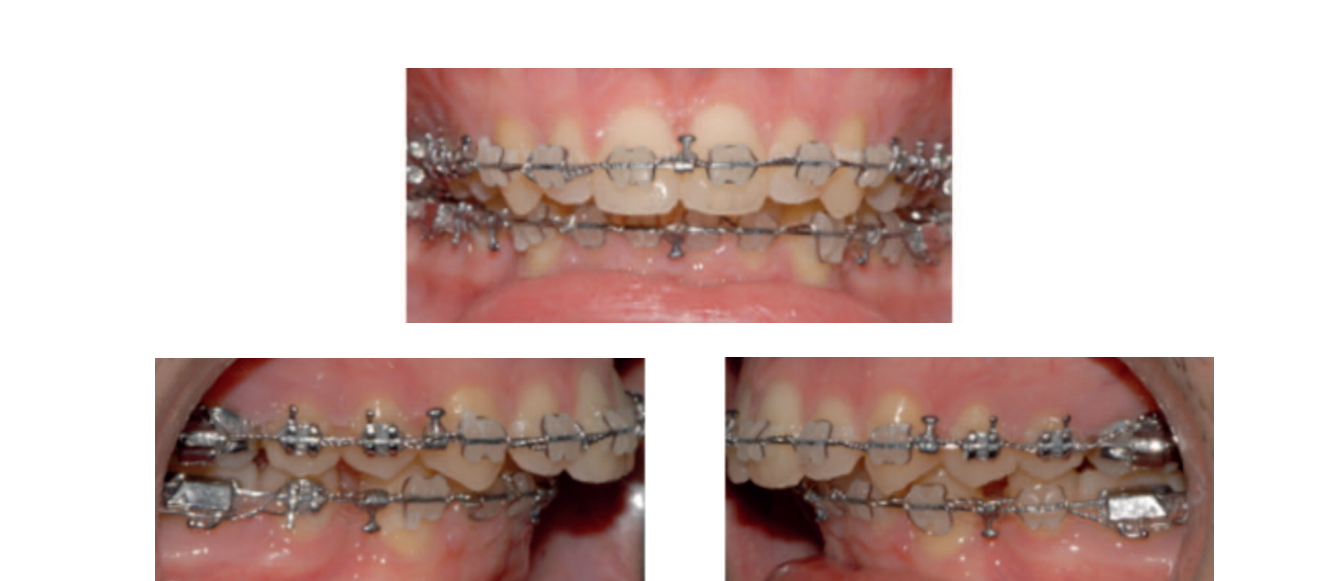
В дентальном анализе (рис. 4) наблюдается: легкое сжатие сзади из-за недостатка торсии в молярах и премолярах; класс II по молярам и клыкам с обеих сторон; отсутствие выступа из-за проинклинации нижних резцов; переднее скученность в обеих дугах и множественные ротации, а также сильная проинклинация нижних резцов.


Ортодонтический план


План ортодонтии включает следующие этапы:
- Необходимость удаления нижних премоляров для того, чтобы можно было наклонить нижние резцы назад.
- Верхние резцы слегка наклонены вперед. Мы восстановим их положение и решим проблему скученности спереди с помощью stripping от клыка до клыка.
- Выравнивание кривой Спи, вводя нижние резцы.
- Коррекция кривой Уилсона с коронно-вестибулярной ротацией на верхних премолярах и молярах.
Начальное хирургическое планирование
Мы решили продвинуть верхнюю челюсть на 4 мм, чтобы обеспечить лучшую антеропостериорную защиту и одновременно максимально продвинуть нижнюю челюсть. Верхняя челюсть будет вертикально воздействовать на свою переднюю часть и затем опустится, вызывая противочасовую ротацию окклюзионной плоскости.
Предоперационная ситуация


После выравнивания нижней кривой Спи и коррекции наклона нижних резцов наша предоперационная ортодонтическая цель достигнута. Потеря задней опоры для завершения закрытия пространств после экстракции может быть отложена на послеоперационную фазу, используя RAP (феномен регионального ускорения).


Планирование бимаксиллярной хирургии
Максилла будет смещена вперед на 4 мм, чтобы обеспечить достаточное продвижение нижней челюсти для эстетической проекции нижней челюсти. Окончательное вертикальное положение верхних резцов будет определено по завершении операции, при смыкании челюстей и измерении от фиксированной точки, которая устанавливается саморезом в начале операции на носу.
Окончательное определение положения верхних резцов, как горизонтально, так и вертикально, существенно влияет на эстетику улыбки. Нижняя челюсть будет продвинута, и будет выполнена ментопластика с продвижением и вертикальным увеличением.
Бимаксиллярная хирургия

Под общим наркозом была проведена назотрахеальная интубация. Операция началась с верхней челюсти, была выполнена остеотомия Лефорта I с передней импакцией на 2 мм, задним опусканием на 2 мм и продвижением на 4 мм. Проведена септопластика и субмукозная резекция раковин.
Остеотомии были жестко зафиксированы с помощью двух пластин на перфорационной арке и с помощью проволоки на скуловых костях. Использовалась скелетная тракция на задней челюсти.
Челюсть была остеотомирована по технике Обвегезера-Эпкера и продвинута на 14 мм. Проведено значительное отсоединение мышц ветви и тела для облегчения продвижения. Остеотомии были последовательно зафиксированы жесткими пластинами 2 мм с мостом продвижения. Пациент находился в реанимации 24 часа. Межчелюстная циркуляция не проводилась, были установлены эластики класса II. Выполнена ментопластика с продвижением на 3 мм и опусканием на 6 мм.
Завершение и удержание





Стабильность через три года после лечения





Результаты
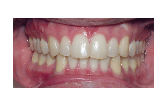
Пациент развивается удовлетворительно, и полученная окклюзия стабильна. Лицевые результаты демонстрируют явное эстетическое улучшение.
Скелетная экспансия, вызванная продвижением челюстей с противочасовой ротацией и ментопластикой, обеспечивает эстетическое улучшение, не имеющее аналогов среди других типов лицевой хирургии. Долгосрочные изменения стабильны и долговечны.
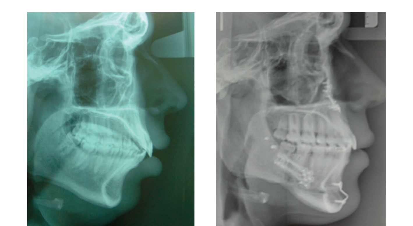
Скелетная экспансия привела к улучшению дыхательных путей, как показано на радиологических наложениях.
Выводы
Дентально-лицевые деформации затрагивают 10-15% населения с различными степенями эстетического или функционального нарушения, которые могут касаться только одной челюсти или всего лица.
Этот случай представляет собой парадигму новых изменений в подходе к ортогнатической хирургии. Мы не только достигаем удовлетворительного окклюзионного состояния, но и эта хирургия дает нам возможность получить лучшие эстетические и функциональные результаты, которые не сопоставимы с другими хирургическими подходами.
Лица с умеренной деформацией трансформируют свою эстетику, и улучшения выходят за рамки, поскольку нет другой техники, сравнимой с ортогнатической хирургией, которая вызывает изменения в дыхательных путях, как бимаксиллярная хирургия с изменением окклюзионной плоскости. У этого пациента операция вызвала скелетное расширение.
Улучшение внешности имеет глубокое значение, поскольку влияет на то, как люди оценивают себя и как общество их воспринимает. Это оказывает значительное влияние на самооценку. Желание улучшить внешний вид заметно у пациентов с деформацией, даже у тех, кто говорит, что их мотивации функциональны, так как так легче оправдать необходимость лечения.
Ортогнатическая хирургия рекомендуется для лечения большинства из этих случаев, обеспечивая функциональную окклюзию в сочетании с улучшением жевания, дыхания и фонции.
Многие из наших пациентов обращаются за ортодонтическим лечением, но обязанность специалиста заключается не только в достижении стабильной окклюзии, но и в улучшении лицевой эстетики, со всеми ее положительными психоэмоциональными последствиями.
Цезарь Колменеро Руис, Елена Бонилья Моренте, Сильвия Росон Гомес, Кармен Торрес де ла Торре
Библиография
- Bell WH. Ревоскуляризация и заживление костей после остеотомии верхней челюсти: исследование с использованием взрослых макак-резусов. Oral Surg. 1960; 27: 269-277.
- Brevi BC, Fuma L, Pau M, Sesena E. Противочасовая ротация окклюзионной плоскости при лечении ОСАС. J. Oral. Maxillofac Surg. 2011; 69 : 917- 923.
- Bloomquist JE, Ahlborg G, Isaakson S. Сравнение скелетной стабильности после продвижения нижней челюсти и использования двух жестких внутренних фиксационных техник. J. Oral Maxillofac. Surg. 1997; 55: 568-576.
- Noguchi N, Tsuji M. Ортогнатическая симуляционная система, интегрирующая данные о зубах, челюсти и лице с использованием 3D-цефалометрии. Int. J. Oral Maxillofac. Surg. 2007; 36: 640-5.
- Poulto DR, Ware WH. Хирургически-ортогнатическое лечение тяжелой ретрузии нижней челюсти. Am. J. Orthod. 1971; 58: 244-252.
- Sarver DM. Арка улыбки. Важность положения резцов в динамической улыбке. Am. J. Orthod. Dentofacial Orthop. 2001; 120: 98-111.
- Swennen GRJ, Mollemans W , Schutyser F. Трехмерное планирование лечения для ортогнатической хирургии в эпоху виртуальной визуализации. J. Oral Maxillofac. Surg. 2007; 67: 2080-87.

/public-service/media/default/504/krHIy_671f5c024a1f9.jpeg)
/public-service/media/default/499/wY9iJ_671f5b83a8128.jpg)
/public-service/media/default/497/l01Rn_671f5b48e6a7d.jpg)
/public-service/media/default/505/gvyZE_671f5c1bbb2b9.jpg)