Резюме. В статье представлены результаты клинических наблюдений патологии костной ткани костей черепа, которые могут встречаться в практике челюстно-лицевого хирурга, врача-стоматолога и рентгенолога.

Введение

Метопология обследования пациента в клинике стоматологии и челюстно-лицевой хирургии (ЧЛХ), помимо сбора информации относительно пола, возраста, жалоб, длительности заболевания, подразумевает также оценку локализации патологического процесса и количество вовлеченных в патологический процесс костей. Помимо выполнения большого спектра рентгенологических исследований применяются дополнительные, такие как конусно-лучевая компьютерная томография (КЛКТ), мультиспиральная компьютерная томография (МСКТ) и/или магнитно-резонансная томография (МРТ). А при необходимости — радионуклидные технологии, представленные позитронноэмиссионной компьютерной томографией (ПЭТ-КТ), однофотонной эмиссионной компьютерной томографией (ОФЭКТ-КТ), остеосцинтиграфией. Несоблюдение алгоритма и тщательности обследования в ряде случаев может привести к необратимым последствиям.

Рентгеносемиотика заболеваний костей и суставов включает изменение положения, формы и величины костей, их контуров и структуры, а также деструктивные и остеосклеротические процессы.

Йзменения формы и размеров кости могут характеризоваться нарушением объема (гиперостоз, "вздутие", атрофия), патологическим разрастанием тканей (рис. 1 а-г), искривлением, удлинением или укорочением костей, изменением сочленяющихся поверхностей в суставе.

Рис. 1. Плоскоклеточный ороговевающийрак (неопластический процесс отмечен нарисунках красными стрелками): а – внешний видизмененных мягких тканей нижней трети лица
Рис. 1. Плоскоклеточный ороговевающийрак (неопластический процесс отмечен нарисунках красными стрелками): б – МСКТ-ангиография челюстно-лицевойобласти, трехмерная реконструкция

Патологическое новообразование может выступать симптомом первичной или вторичной опухоли костной ткани (рис. 2; 3 а-в), 

Рис. 2. Остеома черепа(показана красной стрелкой), трехмернаяреконструкция МСКТ
Рис. 3. Остеогенная саркома черепа на МСКТ черепа (показана красными стрелками): а – трехмерная реконструкция; б – аксиальная проекция; в – плоскостная реконструкцияв корональной плоскости

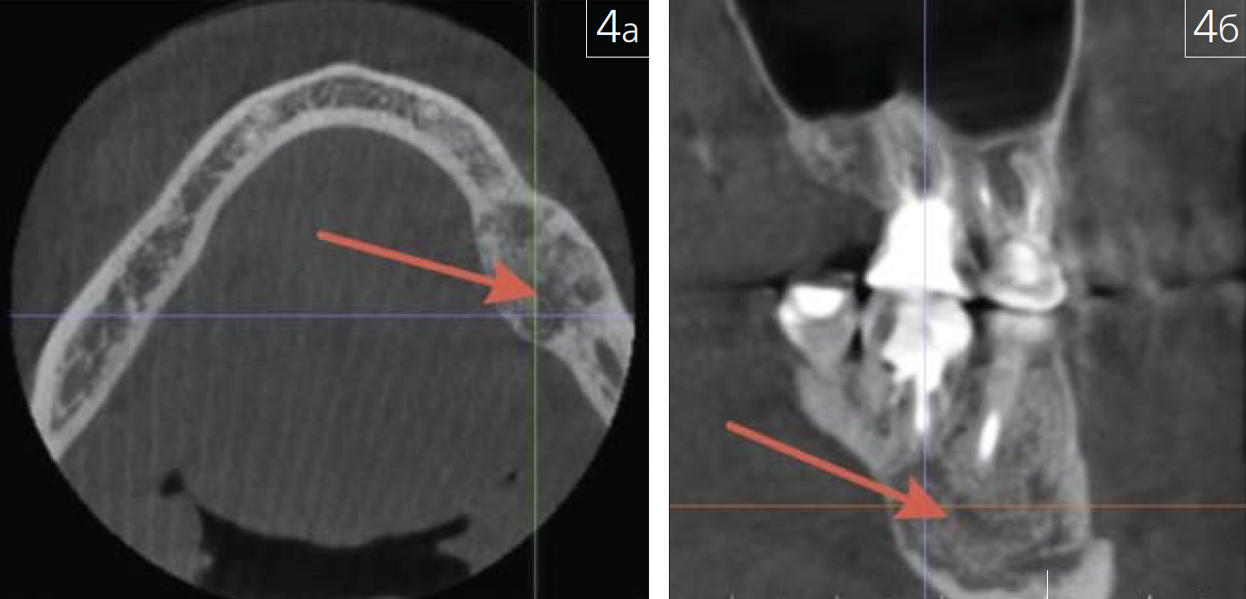
фиброзной дисплазии (рис. 4 а-в; 5), 

Рис. 4. Фиброзная дисплазия нижней челюсти слева(показана красными стрелками) на КЛКТ: а – аксиальная проекция;б – атипичная косая проекция
Рис. 5. Участок цементно-фиброзной дисплазии в областикорня 3.4 зуба (показан красной стрелкой) на КЛКТ: плоскостнаяреконструкция в сагиттальной плоскости

которая может быть семейнонаследуемой, а основным рентгенологическим критерием оценки является сохранность замыкательной пластинки, свидетельствующая о доброкачественности патологического процесса.

При помощи лучевых методов диагностики могут быть выявлены патологические изменения сочленяющихся поверхностей височно-нижнечелюстного сустава (ВНЧС). Примеры патологии костной ткани ВНЧС приведены на рис. 6 а, 6; 7 а, 6; 8 а, б.

Рис. 6. Фиброзная дисплазия головки левого ВНЧС (зонапатологических изменений отмечена на рисунках красной стрелкой):а – аксиальная проекция МСКТ ВНЧС; б – корональная проекция МРТВНЧС, Т1 ВИ
Рис. 7. Остеома мыщелкового отростка нижней челюсти слева:а – stl-модель черепа (патологический участок отмечен на рисунке синей стрелкой);б – гистологический препарат опухоли, окрашенный гематоксилином и эозином,увеличение 200:1
Рис. 8. Случайные рентгенологическиенаходки при МР-диагностике дисфункции ВНЧС:а – интраоссальная киста головки мыщелкового отростканижней челюсти слева, сагиттальная плоскость, Т2*GREимпульсная последовательность в состоянии привычнойокклюзии;б – гигантоклеточная опухоль головки мыщелковогоотростка нижней челюсти справа, сагиттальная плоскость,PD импульсная последовательность с жироподавлениемв состоянии привычной окклюзии (зона патологическихизменений отмечена на рисунках красной стрелкой)

Патология костной ткани может характеризоваться не только изменением ее структуры, но и изменениями прилежащих мягких тканей (рис. 9 а-в).

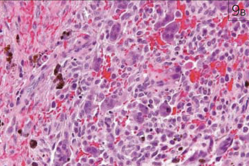
Рис. 9. Центральнаягигантоклеточная репаративнаягранулёма нижней челюстислева (зона патологическихизменений отмечена нарисунках красной стрелкой):а – аксиальная проекция МСКТ;б – аксиальная проекция МРТ,Т2 ВИ; 
Рис. 9. Центральнаягигантоклеточная репаративнаягранулёма нижней челюстислева (зона патологическихизменений отмечена нарисунках красной стрелкой): в – гистологическийпрепарат опухоли, окрашенныйгематоксилином и эозином,увеличение 200:1

В практике врача-рентгенолога регулярно встречается такое поражение костной ткани, как эозинофильная гранулёма (болезнь Таратынова). Её рентгенологическими признаками являются участки разрежения костной ткани с нечеткими "фестончатыми" контурами без каймы склероза, с возможным разрушением наружной и внутренней замыкательных пластинок костной ткани и инвазией в мягкие ткани, с формированием секвестров (симптом "пуговицы" на рентгенограмме, рис. 10). 

Рис. 10. Эозинофильная гранулема на МСКТ и МРТ (зона патологических изменений отмеченана рисунках красной стрелкой): а – МСКТ, аксиальная плоскость; б – МРТ, Т2 ВИ, аксиальная плоскость

Хочется отметить, что данные изменения возможно выявить на рентгеновских снимках, применяемых для рентгеноцефалометрического анализа в практике врача-стоматолога-ортодонта и челюстно-лицевого хирурга. Речь идет о телерентгенограммах (ТРГ) черепа в прямой и боковой проекциях и 3D-цефалометрии.

Миеломная болезнь (множественная миелома, генерализованная плазмоцитома, болезнь Рустицкого-Калера) — злокачественная опухоль из плазматических клеток (дифференцированных В-лимфоцитов, пропуширующих антитела). Данное заболевание системы крови, относящееся к парапротеинемическим лейкозам, рентгенологически характеризуется четко очерченными "штампованными" очагами деструкции различной величины в костях свола черена, ключинах, ребрах, костях таза (рис. 11).

Рис. 11. Участки деструкции в костях свода черепана рентгенограмме костей мозгового черепа в боковойпроекции (указаны красными стрелками) при миеломнойболезни

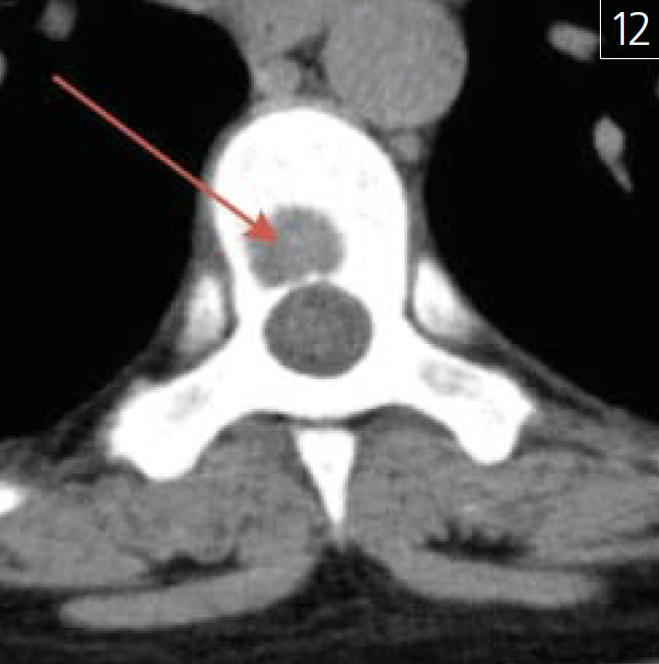
Печальной находкой в практике врачастоматолога и челюстно-лицевого хирурга могут стать остеолитические метастазы в кости скелета, в т.ч. в позвонки (рис. 12).

Рис. 12. Участок деструкции костнойткани тела позвонка с неровными,нечеткими контурами и минимальнойкаймой склероза (указан красной стрелкой)

Особое место в практике врача-стоматолога, челюстно-лицевого хирурга и рентгенолога занимают ятрогении (рис. 13 а-в; 14 а, б; 15 а-в; 16; 17).

Рис. 13. Амелобластома нижней челюсти слева: а – фронтальный срез КЛКТ челюстей(патологический участок указан красной стрелкой); б – аксиальный срез КЛКТ нижней челюсти(“треугольник Кодмана”, рентгенологический признак опухоли, указан голубой стрелкой);в – гистологический препарат опухоли, окрашенный гематоксилином и эозином, увеличение 200:1
Рис. 14. Дентальный имплантат (указанкрасной стрелкой), установленный в областиодонтомы нижней челюсти (указана синейстрелкой): а – косая проекция МСКТ;б – аксиальная проекция МСКТ черепа
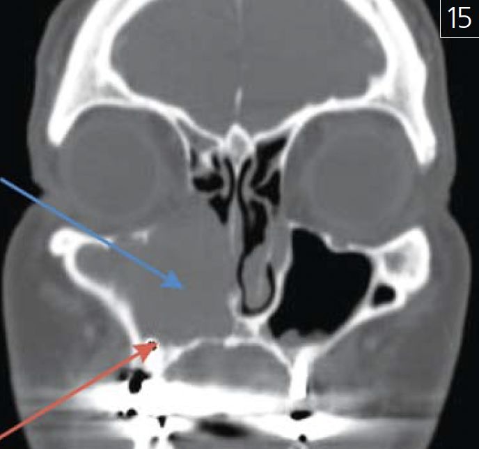
Рис. 15. Установка дентального имплантата(указан красной стрелкой) в карциному верхнейчелюсти справа (указана синей стрелкой) –фронтальная проекция МСКТ черепа

 

Рис. 16. Зуб 2.7, являющийся опорой мостовидного протеза, располагается в карциноме верхнейчелюсти слева (зона интереса указана на рисунках красными стрелками): а – МСКТ черепа, плоскостнаяреконструкция в корональной плоскости; б – МСКТ черепа, плоскостная реконструкция в атипичнойсагиттальной плоскости
Рис. 17. Ортопантомограмма (стоматологом-хирургом амбулаторно удален зуб 4.8, прилежавшийк внутрикостной гемангиоме, указанной на рисунке красной стрелкой)

Таким образом, на основании ряда приведенных нами клинических примеров наглядно иллюстрируется многообразие патологических изменений костной ткани челюстей и других костей черепа, встречающихся в рутинной практике врача-стоматолога и челюстно-лицевого хирурга. Огромное значение в своевременном выявлении и правильной трактовке данных изменений играет взаимолействие клинициста с врачом-рентгенологом и патологоанатомом

С целью профилактики ятрогений, коллектив авторов считает возможным предложить следующие практические рекомендации:

  1. Соблюдение Приказа Министерства здравоохранения РФ от 09.06.2020 №560н касательно описания рентгеновского снимка челюстей (костей черепа) врачом-рентгенологом.
  2. Рентгенологический контроль на всех этапах стоматологического лечения.
  3. Использование дополнительных метолов обследования (МСКТ и МРТ, ПЭТ-КТ, ОФЭКТ-КТ, остеосцинтиграфия, денситометрия, лабораторное дообследование и др.).
  4. Выполнение биопсии тканей (по показаниям).
  5. Исключение зубов, расположенных рядом с патологическим участком, из зоны действия ортодонтической аппаратуры.
  6. Контроль наличия в карте амбулаторного больного (истории болезни) информированного добровольного согласия на обследование и лечение.
  7. Оценка психо-сенсорной и анатомо-функциональной дезадаптации пациента на этапах лечения и привлечение к работе (при необходимости) клинического психолога.

Список литературы

  1. Китаев, В.М. Лучевая диагностика патологии костной ткани / В.М.Китаев, С.В.Китаев, О.Ю.Бронов. Москва: МЕДпресс-информ, 2022. 184 с.: ил.
  2. Синдром психо-сенсорно-анатомо-функциональной дезадаптации (синдром ПСАФ дезадаптации) в стоматологии и смежных дисциплинах / М.М.Соловьев, А.И.Яременко, А.М.Соловьева и др. // Сборник тезисов Фундаментальные и прикладные проблемы стоматологии" (Санкт-Петербург, 11-13 декабря 2014 г.). -Санкт-Петербург, 2014. - С. 143-144. Brody A., Zalatnai A., K.Csomo, Belik A., Dobo-Nagy C.
  3. Difficulties in the diagnosis of periapical translucencies and in the classification of cemento-osseous dysplasia // BMC Oral Health. 2019. 19:139 p. 1-8. DOI 10.1186/s12903-019-0843-0. Daviet-Noual V., Ejeil A.-L., Gossiome C., Moreau N., Salmo B.
  4. Differentiating early stage florid ossessous dysplasia from periapical endodontic lesions: a radiological-based diagnostic algorithm // BMC Oral Health. 2017. 17:161, p 1-8. DOI 10.1186/s12903-017-0455-5.
  5. Esfahanizadeh N., Yousefi H. Successful Implant Placement in a Esquiantizadei N., Touseji II. Successiu Impanti Flateriettii III d. Case of Florid Cemento-Osseous Dysplasia: A Case Report and Literature Review // J Oral Implantol. - 2018. - Aug;44(4):275-279. DOI 10.1563/aaid-joi-D-17-00140.
  6. Grin P., Schneider B., Bandura P., Pfaffeneder-Mantai F., Bytyqi D., Turhani D. Bone remodelling after minimally invasive surgical management of a recurrent florid cemento-osseous dysplasia in a Caucasian woman 18 years follow-up of a unique case a case report // International Journal of Surgery Case Reports 2023. 108074. p. 1-8.
  7. Haefliger S., Baumhoer D. Die neue WHO-Klassifikation der Kiefertumoren, Die Pathologie. 2023. 4. 44. p. 240-249. DOI 10.1007/s00292-023-01195-4.
  8. Hameed M., Horvai A.E., Jordan R.C.K. Soft Tissue Special Issue: Gnathic Fibro Osseous Lesions and Osteosarcoma // Head and Neck Pathology. 2020. 14: p. 70-82. DOI10.1007 /s12105-019-01094-2.
  9. Nelson B.L., Phillips B.J. Benign Fibro-Osseous Lesions of the Head and Neck // Head and Neck Pathology, 2019. 13. p. 466-475. DOI 10.1007/s12105-018-0992-5.
  10. p. 400-473. DOI 10.100//812/10-3-016-0952-0 Nilius M., Milius M.H., Müller C., Lauer G., Berit K., Marcus K. Multifocal periapical cemental dysplasia in periodontal Ehlers-Danlos syndrome combined with leukoencephalopathy in the mutation of c.890G >a, G297D [pEDS] // Clin Case Rep. 2022. 10:e06490. p. 1-6. DOI10.1002/ccr3.6490.
  11. Soluk-Tekkesin M., Wright J.M. The World Health Organization Classification of Odontogenic Lesions: A Summary of the Changes of the 2022 (5th) Edition // Turk PatolojiDerg. 2022.-Vol. 38. p. 168-184. DOI: 10.5146/tjpath.2022.01573.
  12. Shadid R., Kujan O. Success of dental implant osseointegration in a florid cemento-osseous dysplasia: A case report with 8-year follow-up // ClinPract. 2020. 4;10(3):1281. DOI 10.4081/ cp.2020.1281.
  13. Vered M., Wright J.M. Update from the 5th Edition of the World Health Organization Classification of Head and Neck Tumors: Odontogenic and Maxillofacial Bone Tumours // Head and Neck Pathology. - 2022. - 16:63-75. DOI10.1007/s12105-021-01404-7

Авторы

Н.В.Вишнёва, А.Н.Ланина, О.В.Лукина, Е.В.Бубнова, А.Г.Тюрин, Р.А.Фадеев, А.И.Яременко