Гингивит-причины, патогенез, классификация
Гингивит – это воспаление десны. Десна воспалена у подавляющего большинства населения всего земного шара. Поэтому среди врачей-стоматологов расхожа шутка, что можно поставить диагноз любому пациенту, пусть даже он в кабинет зайти не успел. Диагноз этот, как вы уже догадались, «гингивит». В данной статье речь пойдет о классификации, патогенезе и причинах гингивита.

Гингивит – это самая ранняя стадия воспаления десны. Со временем воспаление становится все тяжелее, разрушается соединение десны и зуба (эпителиальное прикрепление – номер 3 на рисунке), и «гингивит» меняется на «периодонтит».
Более подробно и углубленно об этой теме вам расскажет лектор на вебинаре Лечение пациентов с заболеваниями пародонта онлайн-курса Продвинутое пародонтологическое лечение. Хирургический и нехирургический подходы.

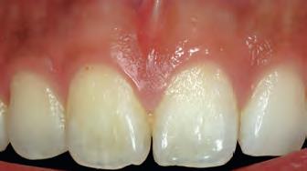
Чтобы с легкостью выявить патологию, нужно помнить и о норме. Вспомним, как выглядит нормальная, невоспаленная десна.
Десна в норме
Десна в норме имеет характерный внешний вид. Удобно его описывать, пользуясь несколькими простыми критериями:
| Признак | Норма |
| Цвет | Бледно-розовый, коралловый, лососевый (если говорим о светлокожих людях) |
| Поверхность | Бугристая («лимонная корочка») |
| Контур | Остроконечные или трапециевидные межзубные сосочки |
| Консистенция | Плотная |
| Кровоточивость | Нет |
Цвет десны
Цвет десны заметно отличается от цвета слизистой альвеолярного отростка. Слизистая альвеолярного отростка более красная, гладкая и блестящая. Все из-за особенностей ее эпителия и соединительной ткани:
- эпителий слизистой альвеолярного отростка тонкий, неороговевающий, в нем нет эпителиальных выростов;
- более рыхлая соединительная ткань содержит больше кровеносных сосудов.

Черной стрелкой обозначена десна, белой – слизистая альвеолярного отростка
Поверхность десны
Бугристая поверхность характерна для прикрепленной десны (маргинальная десна гладкая). Микроскопически это десневые углубления (стрелки на рисунке) и возвышения из-за разного расположения слоя соединительной ткани.


Контур десны
Контур, или форма края, десны может быть разным. Он может быть более пологим или, наоборот, дугообразным с вестибулярной и язычной сторон. Зависит это от формы и наклона коронки зуба: чем коронка выпуклее, чем больше ее наклон, тем больше выражен изгиб десны.

Более пологий контур десны у верхних центральных резцов, более изогнутый у клыков
Межзубные сосочки тоже разные по форме: чем меньше для них места (зубы расположены плотнее), тем они «острее»; чем больше, тем, наоборот, они шире:

Широкий межзубный сосочек

Остроконечный узкий межзубный сосочек
Консистенция десны
По своей консистенции здоровая десна плотная. Всё благодаря обилию прочных коллагеновых десневых волокон в ее соединительной ткани.

Десневые волокна
Кровоточивость десны
Там же находятся и сосуды, патологически не измененные. Оттого нет кровоточивости десны при чистке зубов дома или ее зондировании врачом-стоматологом.

Зондирование десны
А теперь давайте разберемся, как же меняется десна при появлении воспаления – гингивите.
Причины гингивита
Основная причина гингивита – это микроорганизмы. «Но ведь в полости рта всегда множество микробов!» – скажете вы и будете правы. Однако для возникновения воспаления десны нужны более специфические условия:
Условие раз. Чтобы это были определенные микроорганизмы, вот эти красавцы:
- Streptococcus intermedius;
- Streptococcus sanguis;
- Actinomyces odontolythicus;
- Actinomyces naeslundii;
- Veilonella parvula.
Условие два. В десневой борозде:

Десневая борозда
Оба этих условия прекрасно реализуются в зубном налете. Он так и норовит скапливаться в труднодоступных щётке местах (придесневой области, к примеру) и создает прекрасную среду, в которой мало кислорода. Для наших микроорганизмов – факультативных анаэробов – это курорт.

Окрашенный зубной налет. Особенно интенсивный цвет в придесневой области (там, где больше налета).
Эти микроорганизмы повреждают десну с помощью:
- Токсинов, которые они выделяют (экзотоксины);
- Токсинов, которые высвобождаются при гибели бактерии (эндотоксины);
- Ферментов, которые разрушают компоненты соединительной ткани десны (гиалуронидаза, коллагеназа);
- Продуктов своей жизнедеятельности (амины, аммиак, органические кислоты).
Существуют еще причины, из-за которых возникает воспаление десны. Но эти причины – это скорее факторы, которые ускоряют образование зубного налета и развитие бактерий или помогают бляшке задержаться подольше в полости рта. Другое их влияние – снижение иммунитета (и местного, и общего).
Факторы полости рта. Если подробнее, то этим фактором может быть:
- малое количество слюны, ее большая вязкость. Зубы хуже очищаются от налета естественным образом. Страдает местный иммунитет, ведь в слюне находятся важные противобактериальные вещества (лизоцим, иммуноглобулины).

- нарушение нагрузки на периодонт утяжеляет воспаление.
Такое нарушение есть при неправильном прикусе.

Разрушение или даже отсутствие зуба приводит к тому, что нагрузка приходится на соседние зубы. При этом также нарушается жевание. Из-за боли или если жевать на одной стороне уже, грубо говоря, нечем, оно становится односторонним. Тогда на стороне жевания зубы чрезмерно нагружены, а на противоположной не очищаются от налёта механически (твердой пищей).
Другие причины повышенной нагрузки на периодонт:
- завышение прикуса на пломбе. В итоге возникают так называемые суперконтакты в области этого зуба и его антагониста;
- неправильная конструкция протеза, когда страдают зубы-опоры;
- стираемость зубов.
Факторы, повышающие ретенцию зубного налета, среди них:
- нарушения прикуса, когда сложно добраться щеткой до неправильно стоящего зуба;
- кариозные полости II, V класса (апроксимальная, пришеечная области);
- существующие после лечения этих полостей не совсем качественные, плохо отполированные пломбы. На шероховатой поверхности лучше задержится микробная бляшка, да и чистка такой пломбы зубной щеткой не даст идеального результата.
Травмирование тканей периодонта нарушает его кровоснабжение, истощает его защитные силы. Механическое повреждение может происходить в результате:
- аномалий прикрепления мягких тканей преддверия полости рта. Это короткие уздечки губ, языка, выраженные щечные тяжи, мелкое преддверие (менее 5 мм).

Короткая широкая уздечка нижней губы травмирует периодонт зуба 41
- неправильные движения при чистке зубов, неаккуратное очищение межзубных промежутков;

Общие факторы понижают нашу устойчивость к атаке десны микроорганизмами.
Это и проблемы иммунитета, и общие заболевания (сахарный диабет, гипотиреоз), и определенные уязвимые периоды в жизни (беременность, половое созревание). И вездесущий стресс, сопровождающий в современном мире на каждом шагу.
Мы то, что мы едим. В отношении гингивита это тоже верно. С одной стороны, если в рационе много углеводов, лучше накапливается зубной налет. С другой – недостаток витаминов в пище ухудшает защитные функции организма. Особая роль у витамина С, ведь если его мало – страдает обновление коллагеновых волокон. А это, на минуточку, целых 60% от состава соединительной ткани десны.
А еще, что немаловажно, вредные привычки. Самая грозная – курение. Оно причиняет вред не только общему, но и местному иммунитету в полости рта. Нарушается местный воспалительный ответ, кровоснабжение десны, состав десневой жидкости, увеличивается количество плохих, патогенных микроорганизмов.
Итак, с причинами разобрались. Возьмем гипотетического пациента, у которого есть одна или несколько из них. Очевидно, развитие воспаления в десне неизбежно. Каким же образом оно возникает, а затем развивается и прогрессирует? Давайте разбираться.
Патогенез гингивита
В патогенезе гингивита выделяют несколько стадий, переходящих одна в другую:
- начальная стадия;
- ранняя стадия;
- стадия устойчивого поражения;
- прогрессирующая стадия.
Начальная стадия воспаления десны развивается в первые 2-4 суток. С микроорганизмами зубного налета начинают бороться полиморфноядерные лейкоциты. Напомню, к ним относятся базофилы, эозинофилы и нейтрофилы. В нашем случае преобладают нейтрофилы:

Они проникают из кровеносных сосудов в соединительную ткань десны, эпителий десневой борозды, эпителий прикрепления. Смещают, сдавливают коллагеновые волокна вокруг сосудов, выделяют коллагеназу, которая их разрушает. В ответ на появление такого большого количества иммунных клеток расширяются капилляры, усиливается кровоток. И, как итог, из десневой борозды выделяется больше экссудата и внесосудистых белков – увеличивается количество десневой жидкости.
Эту стадию называют также субклиническим гингивитом, ведь внешне десна выглядит абсолютно здоровой. Патологические изменения видны на микроскопическом уровне:

Нейтрофилы (НФ) в кровеносных сосудах возле соединительного эпителия (СЕ) и даже между его клеток. В эпителии десневой борозды (ЭДБ) нейтрофилов нет.

1 — здоровая десна. Соединительная ткань (СТ) содержит фибробласты, кровеносные сосуды, плотные коллагеновые волокна. 2 – через несколько дней накопления зубного налета. Множество иммунных клеток в соединительной ткани, эпителии (СЕ). Расширенный кровеносный сосуд (КС) в центре.
Ответная реакция организма определяет, чем завершится начальная стадия. Выздоровлением и возвращением в нормальное состояние или переходом на следующую стадию – стадию раннего поражения.
Начальная стадия переходит в раннюю примерно спустя 1 неделю накопления зубного налета. Начинают мигрировать в зону воспаления другие иммунные клетки – макрофаги, лимфоциты, которые образуют инфильтрат. Вокруг таких инфильтратов, как и около сосудов в начальной стадии, разрушается коллаген:

Появление лимфоцитов малого (МЛ) и большого (БЛ) размеров. Светлые пространства вокруг них – отсутствующий коллаген
Более того, снижается его выработка фибробластами. Хуже всего приходится циркулярным (4) и зубодесневым волокнам (1,2,3 на рисунке снизу).
Разрастается соединительный эпителий, кровеносные сосуды: появляются эпителиальные тяжи, между которыми находятся капиллярные петли. Потому меняется цвет десны, возникает эритема. Также появляется первый клинический признак – кровоточивость десны.

Со временем (по разным источникам от 2-3 недель до даже 1-2 месяцев) процесс переходит в стадию устойчивого поражения (развившуюся). Этот период можно характеризовать уже как хронический воспалительный процесс в десне. Многие иммунные клетки предыдущих стадий (нейтрофилы, макрофаги, лимфоциты) разрушены. От них – лишь след в виде расширенных межклеточных пространств, гранулированных остатков и лизосом. На смену им приходят другие – В-лимфоциты и плазматические клетки. Продолжает уменьшаться количество коллагена.

Дегенерация плазматических клеток, клеточные остатки (дебрис)

Эпителий десневой борозды с увеличенными межклеточными пространствами, лимфоцитами
Значительно меняются кровеносные сосуды: они перегружены. Как следствие, увеличивается их ломкость, замедляется кровообращение в них, возникает венозный застой. Цвет десны становится более темным, цианотичным. Плюс эритроциты выходят из капилляров в соединительную ткань, гемоглобин в них распадается, это усиливает окрашивание.

Тяжи в эпителиальном прикреплении могут становиться очень выраженными. Настолько, что, продолжая рост в направлении соединительной ткани десны, могут частично разрушать базальную пластинку (с помощью которой эпителий и прикрепляется к соединительной ткани).
У стадии устойчивого поражения может быть несколько сценариев:
- При одном из них процесс остается стабильным в течение нескольких месяцев или лет.
- При другом же он более активен и вызывает прогрессирующие деструктивные поражения.
- Но самый благоприятный путь – это восстановление тканей благодаря успешной терапии. Происходит это благодаря возвращению здоровой микрофлоры периодонта, отчего исчезает и воспалительный ответ иммунных клеток.

Некоторыми авторами выделяется еще и 4 стадия гингивита: прогрессирующее поражение. Но это уже периодонтит. Оставляют и рассматривают эту стадию, ведь воспаление десны при вовлечении других структур периодонта (связка, кость) никуда не исчезает. Но это уже совсем другая история, потому ограничимся тремя.
Для наглядности можно подвести итог таблицей:
| Стадия | Время (дни) | Кровеносные сосуды | Соединительный и эпителий десневой борозды | Преобладающие иммунные клетки | Коллаген | Клинические признаки |
| Начальная | 2-4 | Расширение, воспаление, увеличение проницаемости | Инфильтрация полиморфно-ядерными лейкоцитами | ПМЯЛ (в основном, нейтрофилы) | Разрушение вокруг сосудов | Увеличение количества десневой жидкости |
| Ранняя | 4-7* | Пролиферация | То же + тяжи эпителия, зоны атрофии | Лимфоциты | Разрушение вокруг инфильтратов | Эритема Кровоточивость (зонд) |
| Устойчивого поражения (развившаяся) | 14-21* | То же + застой крови, ломкость | То же + прогрессирование | Плазматические клетки | Прогрессирующее разрушение | Изменения цвета, размера, текстуры, поверхности и др. |
* другие авторы отмечают продолжительность II стадии 1-3 недели, III – 1-2 месяца.
Надеюсь, завесу тайны возникновения и развития гингивита мне удалось приоткрыть. С этими знаниями будет проще понять, откуда же берутся все клинические признаки, иначе симптомы, воспаления десны.
Само воспаление может протекать и проявляться по-разному. Ввиду этих особенностей выделяют различные формы гингивита.
Классификация гингивита
Единого мнения среди разных авторов нет. Поэтому я приведу наиболее распространенные и применяемые на практике классификации гингивита: МКБ-10 и Классификация болезней периодонта, принятая XVII Пленумом Всесоюзного общества стоматологов (1983, Ереван).
МКБ-10
К05 Гингивит и болезни периодонта
Включает: заболевания беззубого альвеолярного гребня
К05.0 Острый гингивит
Исключая: острый перикоронарит (К05.22),
острый некротический язвенный гингивит (гингивит Венсана) (А69.10),
герпетический гингивостоматит (В00.2)
К05.00 Острый стрептококковый гингивостоматит
К05.08 Другие острые специфические гингивиты
К05.09 Острый неспецифический гингивит
К05.1 Хронический гингивит
К05.10 Простой маргинальный
К05.11 Гиперпластический
К05.12 Язвенный
Исключая: язвенно-некротический гингивит (А69.10)
К05.13 Десквамативный
К05.18 Другие хронические специфические гингивиты
К05.19 Хронический неспецифический гингивит
Классификация болезней периодонта, принятая XVII Пленумом Всесоюзного общества стоматологов (1983, Ереван)
Гингивит:
Форма: катаральный, гипертрофический, язвенный.
Течение: острое, хроническое, обострившееся, ремиссия.
Тяжесть процесса: легкий, средней тяжести, тяжелый.
Распространенность процесса: локализованный, генерализованный.
При отсутствии своевременного лечения гингивит прогрессирует, поражение десны приводит к тяжелым заболеваниям тканей парадонта, подробно о протоколах диагностики и лечения заболеваний парадонта на нашем курсе Хирургическая пародонтология.
Подробнее о каждом гингивите мы поговорим в следующих статьях.
Берегите здоровье своих десен и
Спасибо за прочтение!

