/education-service/media/default/4898/13508953.jpg)
В архиве.
Этот контент снят с продажи. Вы можете выбрать обучающие материалы в нашем каталоге.
Webinar course on Implantology and Periodontology: Implant-Perio Evolution 2.0
Детали курса
Уроки курса
Уроки курса
Лекторы
Детали
6 уроков (9ч 5мин)
Английский
Описание
Урок 1.Implant-Perio Evolution 2.0. Biological Bone Augmentation: What are the Basics, where are the Limits
- Introduction of the BBA Concept (Biological Bone Augmentation with pure autogenous bone) and the Split Bone Technique (Khoury)- What are the basics - where are the limits in augmentation techniques- Lateral augmentation and advanced soft tissue management- The symbiosis of hard-and soft tissue management- Diagnosis and reliable backward planning in compromised cases- Complication treatment pre-intra-and postoperative- How to harvest bone intra-orally and how to deal with vertical defects
Урок 2.Implant-Perio Evolution 2.0: Biological Bone Augmentation and the Layering Technique in the Sinus
- Sinus floor elevation and the Safe Sinus approach- Diagnosis and planning in compromised Sinus cases- The BBA Concept (Biological Bone Augmentation) in the context of Sinus floor elevation- The symbiosis of hard- and soft tissue management- The Layering technique- Complication treatment intra- and postoperatively (perforations, bleeding, septs etc.)
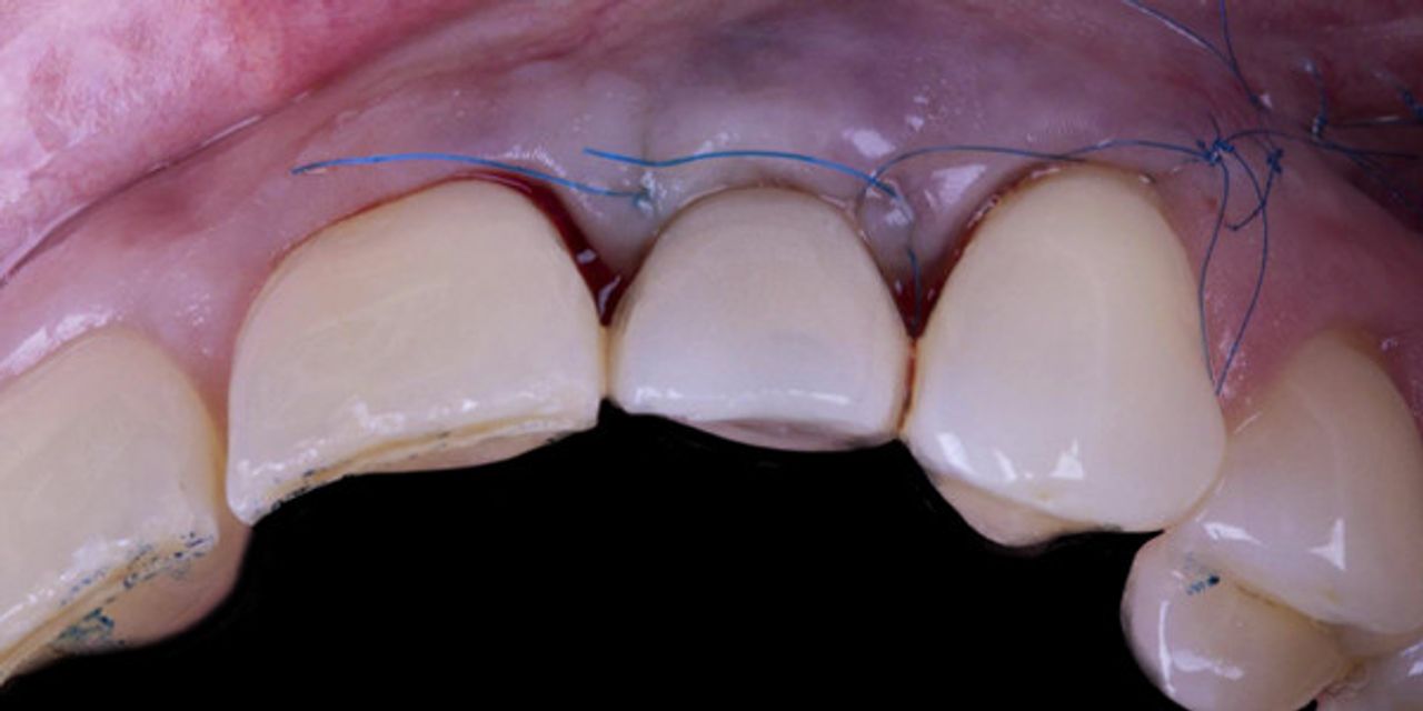
Урок 3.Implant-Perio Evolution 2.0. Surgical Veneer Grafting Protocol: Step-by-Step Utilization in the Esthetic Zone
- Minimally invasive tooth removal techniques and instrumentation- Remove broken and difficult teeth with a flapless approach- The role of socket grafting- Choosing a graft material- Managing the post-extraction sites in order to minimize ridge contour loss- The concept of Restoration-Driven Tissue Regeneration (RDTR)- How to properly place and guide implants into the extraction site for ideal results- How to properly harvest and position in the fresh extraction socket a Connective Tissue Graft
Урок 4.Implant-Perio Evolution 2.0: Partial Extraction therapies
- Partial Extraction Therapies- Root submergence technique- The Pontic Shield- Socket shield technique- Procedures and Technical aspects- Rotated palatal flap and suture techniques
The loss of teeth will lead to resorption of the buccal plate with its resultant need for extensive augmentative procedures (both bone and soft tissue) as well as the risk of poor long term aesthetic stability. Partial Extraction Therapies (PET) are techniques that allow us to maintain the buccal bone plate and hence prevent the collapse of the alveolar bone creating a platform for ideal soft tissue and bone which is stable in the long term. This is a greater problem in the aesthetic areas.
Урок 5.Implant-Perio Evolution 2.0: Soft tissue management around implants in the esthetic zone
- Bundle and alveolar bone;- The role of keratinized tissue versus soft tissue thickness;- Mucogingival surgery for soft tissue dehiscence coverage around implants;- Mucogingival approach in combination with immediate post extraction implant placement and immediate loading;- Soft tissue augmentation and simultaneous guided implant placement in the aesthetic zone;- The soft tissue approach for implant installation after tooth extaction for periodontal reason;- Soft tissue augmentation procedures in edentulous areas before implant rehabilitation;- Step by step protocol of the split-full-split elevation technique to obtain coronal advancement of the flap;- Step by step protocol of connective tissue graft harvesting technique;- Step by step protocol of the “connective tissue platform technique” for soft tissue augmentation.
Урок 6.Implant-Perio Evolution 2.0: Maintenance and complications in esthetic implant dentistry
Implant-Perio Evolution 2.0: Maintenance and complications in esthetic implant dentistry
Курс включает в себя уроки:
Показать еще (2)
Организатор

OHI-S
4.72 (25403 оценок)
OHI-S is the world's leading educational platform for dentists worldwide!
Our core product is training led by the top global speakers in all branches of dentistry. On our platform, you will find courses covering every dental specialty. We offer a comprehensive range of educational formats: congresses, seminars, hands-on workshops, and online courses.
We provide education in 7 languages: English, Spanish, Portuguese, German, French, Ukrainian, Russian.
Our offline projects take place in the most picturesque locations around the world: Kyoto, Florence, Rome, Bologna, Vienna, Berlin, and Prague. Our clients always have a unique opportunity to combine acquiring valuable knowledge with experiencing rich cultural environments.
OHI-S is not just a platform, it’s an entire ecosystem for professionals. Our mobile application, marketplace, and specialized social network connect dentists from all corners of the globe, creating a powerful community for knowledge exchange and collective growth.

/education-service/media/default/1378/018068e5.jpg)
/education-service/media/default/1380/4d11acc0.jpg)
/education-service/media/default/1382/79470fd0.jpg)
/education-service/media/default/1384/b8e3cf1a.jpg)