/education-service/media/default/995/11157008.jpg)
В архиве.
Этот контент снят с продажи. Вы можете выбрать обучающие материалы в нашем каталоге.
3-й вебинар из цикла «Index technique»
Детали курса
Лекторы
Детали
1ч 58мин
Русский
Программа урока
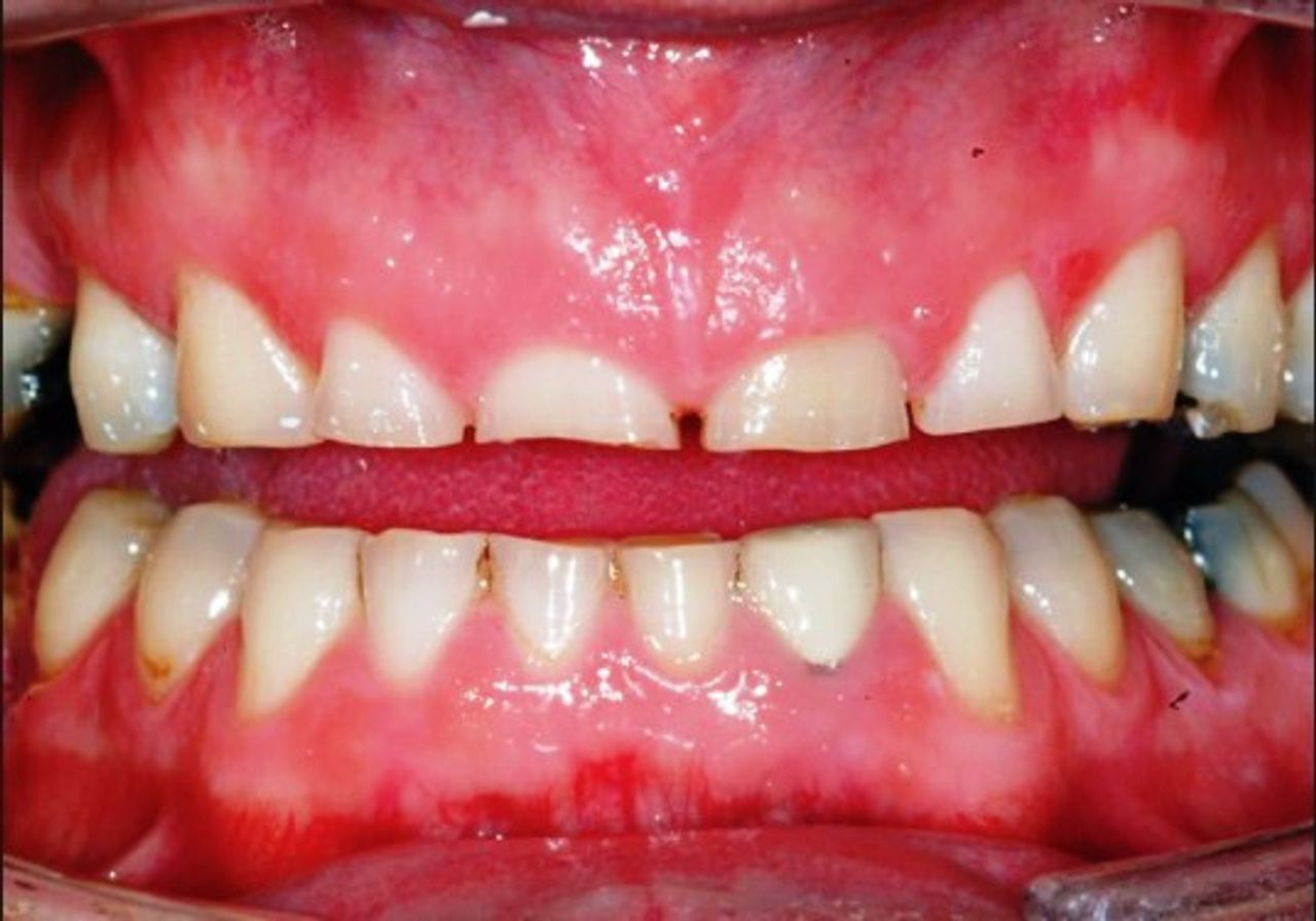
На современном этапе развития, композиционные материалы и новые адгезивные технологии отвечают высоким требованиям пациентов, требующих менее инвазивного лечения и высоких эстетичных результатов при лечении как фронтальной, так и боковой групп зубов с повышенной стираемостью. Благодаря композиционным материалам, хорошо устойчивым к механическим нагрузкам и использованию правильных протоколов, воспроизводящих естественную эстетику и качественную адгезию, границы и возможности применения прямых реставраций постоянно расширяются.
Основная цель курса обучение протоколу диагностики и лечения сложных случаев патологической стираемости зубов. The Index Technique инновационный протокол увеличения высоты прикуса без препарирования. Также будет рассказано о том, как и когда проводить адгезию к зубам с повышенной истираемостью и применению частичных аддитивных непрямых композитных и/или керамических реставраций в зависимости от показаний. Будет представлен пошаговый разбор протоколов лечения с фото и видеоматериалами для четкого представления методик работы в полноценном аналоговом и цифровом подходах. По сравнению с традиционными методами протезирования применение данного протокола намного снижает финансовые затраты пациентов.
Диагностика патологической стираемости, абразивного износа, абфракций и эрозии твердых тканей зубов.
Эстетический и функциональный анализ.
Как увеличивать вертикальный размер окклюзии и выполнять реставрационный wax-up.
Wax-up фронтальных и боковых групп зубов для эстетики, фонетики и функции.
Как изготавливать прозрачный ключ на реставрационном wax-up.
Адгезия к зубам с патологической стираемостью.
Copy paste протокол no-prep реставраций передних отделов зубных рядов.
Copy paste протокол no-prep реставраций боковых отделов зубных рядов.
Как и когда проводить бондинг аддитивных частичных реставраций (композиционных и керамических) при тяжелой степени стираемости зубов.
Организатор

OHI-S
4.72 (25411 оценок)
OHI-S is the world's leading educational platform for dentists worldwide!
Our core product is training led by the top global speakers in all branches of dentistry. On our platform, you will find courses covering every dental specialty. We offer a comprehensive range of educational formats: congresses, seminars, hands-on workshops, and online courses.
We provide education in 7 languages: English, Spanish, Portuguese, German, French, Ukrainian, Russian.
Our offline projects take place in the most picturesque locations around the world: Kyoto, Florence, Rome, Bologna, Vienna, Berlin, and Prague. Our clients always have a unique opportunity to combine acquiring valuable knowledge with experiencing rich cultural environments.
OHI-S is not just a platform, it’s an entire ecosystem for professionals. Our mobile application, marketplace, and specialized social network connect dentists from all corners of the globe, creating a powerful community for knowledge exchange and collective growth.
