/education-service/media/default/1386/fc0e2b3c.jpg)
В архиве.
Этот контент снят с продажи. Вы можете выбрать обучающие материалы в нашем каталоге.
Implant-Perio Evolution 2.0: Soft tissue management around implants in the esthetic zone
/education-service/media/default/45400/d5a9fff6.jpg)
Giovanni Zucchelli
Детали курса
Лекторы
Детали
2ч 26мин
Английский
Программа урока
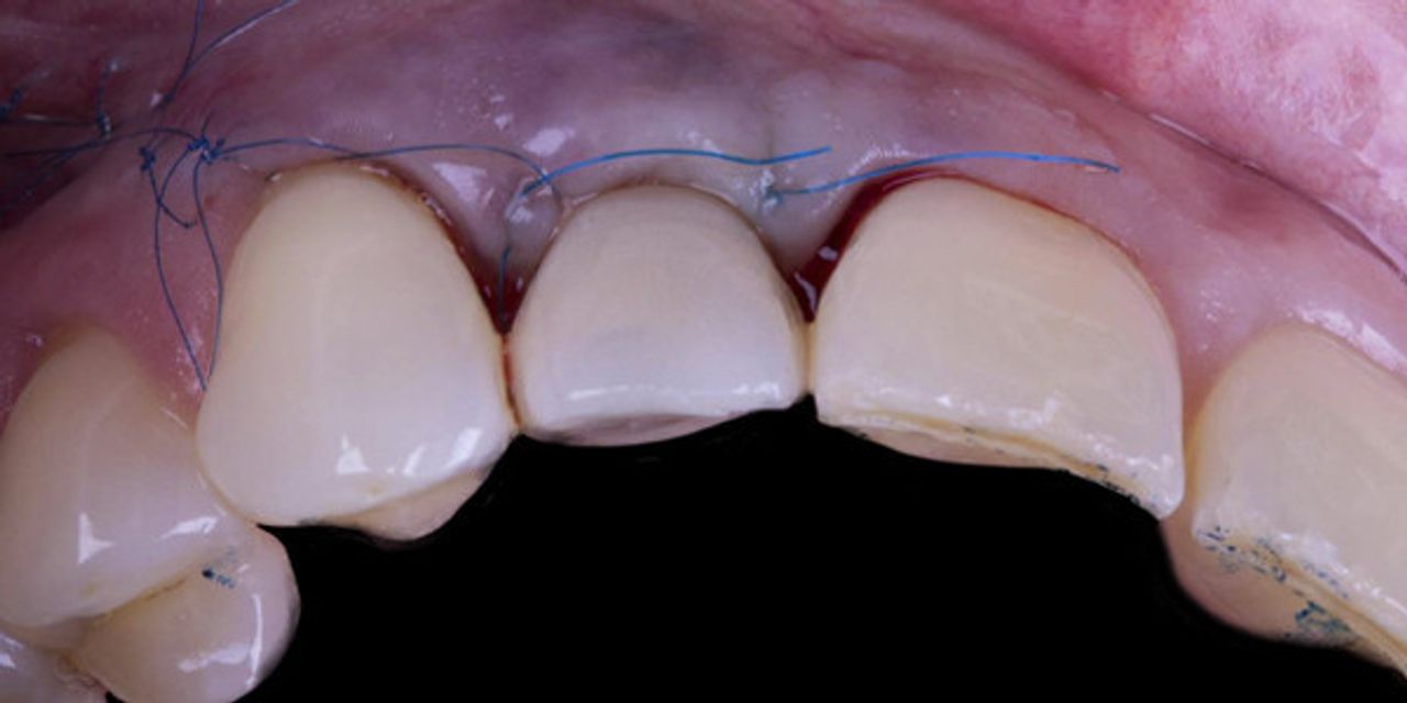
- Bundle and alveolar bone;- The role of keratinized tissue versus soft tissue thickness;- Mucogingival surgery for soft tissue dehiscence coverage around implants;- Mucogingival approach in combination with immediate post extraction implant placement and immediate loading;- Soft tissue augmentation and simultaneous guided implant placement in the aesthetic zone;- The soft tissue approach for implant installation after tooth extaction for periodontal reason;- Soft tissue augmentation procedures in edentulous areas before implant rehabilitation;- Step by step protocol of the split-full-split elevation technique to obtain coronal advancement of the flap;- Step by step protocol of connective tissue graft harvesting technique;- Step by step protocol of the “connective tissue platform technique” for soft tissue augmentation.
Лекторы 1
Профессор пародонтологии и имплантологии и заведующий кафедрой пародонтологии и гигиены полости рта University of Bologna, Италия. Координатор программы бакалавриата по гигиене полости рта University of Bologna. Основатель и директор Zucchelli Institute, Болонья.
Более 37 лет клинического и академического опыта в пародонтальной пластической хирургии и управлении мягкими тканями вокруг зубов и имплантатов. Окончил University of Bologna (1988) и получил PhD по медицинской биотехнологии того же университета (1999). Назначен профессором пародонтологии University of Bologna в 2000 году, занимая эту должность непрерывно более 25 лет. Пионер и новатор множественных хирургических техник для реконструкции мягких тканей, включая модифицированный коронально смещенный лоскут, технику соединительнотканной платформы и протоколы для реконструкции сосочков.
Международный авторитет по мукогингивальной эстетической хирургии, читавший лекции и проводивший живые хирургические демонстрации на крупных конференциях по всему миру. Лауреат престижных исследовательских наград: AAP Foundation-E Bud Tarrson Research Award in Oral Plastic Surgery (2006, 2008), European Federation of Periodontology Clinical Research Prize (2006) и AAP Foundation Lilly Research Award for Clinical Research (2003). Опубликовал более 130 научных статей в рецензируемых международных журналах с обширным цитированием. Наиболее цитируемый исследователь по процедурам покрытия рецессий в мире.
DDS University of Bologna (1988). PhD по медицинской биотехнологии University of Bologna (1999). Активный член European Academy of Esthetic Dentistry (EAED), Italian Society of Periodontology (SIdP), Italian Academy of Osseointegration (IAO) и European Federation of Periodontology (EFP). Ассоциированный редактор International Journal of Esthetic Dentistry. Член редакционной коллегии International Journal of Periodontics and Restorative Dentistry, Journal of Clinical Periodontology и Journal of Periodontology. Рецензент для большинства высокорейтинговых пародонтологических журналов. Автор международного бестселлера «Mucogingival Esthetic Surgery» (Quintessence, 2012), переведенного на 12 языков и признанного определяющим справочником по пародонтальной пластической хирургии. Соавтор главы «Mucogingival Therapy—Periodontal Plastic Surgery» в «Clinical Periodontology and Implant Dentistry» Lindhe, Lang и Karring. Директор магистерской программы по управлению мягкими тканями вокруг зубов и имплантатов University of Bologna.
Организатор

OHI-S
4.72 (25411 оценок)
OHI-S is the world's leading educational platform for dentists worldwide!
Our core product is training led by the top global speakers in all branches of dentistry. On our platform, you will find courses covering every dental specialty. We offer a comprehensive range of educational formats: congresses, seminars, hands-on workshops, and online courses.
We provide education in 7 languages: English, Spanish, Portuguese, German, French, Ukrainian, Russian.
Our offline projects take place in the most picturesque locations around the world: Kyoto, Florence, Rome, Bologna, Vienna, Berlin, and Prague. Our clients always have a unique opportunity to combine acquiring valuable knowledge with experiencing rich cultural environments.
OHI-S is not just a platform, it’s an entire ecosystem for professionals. Our mobile application, marketplace, and specialized social network connect dentists from all corners of the globe, creating a powerful community for knowledge exchange and collective growth.

/education-service/media/default/45400/d5a9fff6.jpg)