/education-service/media/default/1393/0465d9b2.jpg)
В архиве.
Этот контент снят с продажи. Вы можете выбрать обучающие материалы в нашем каталоге.
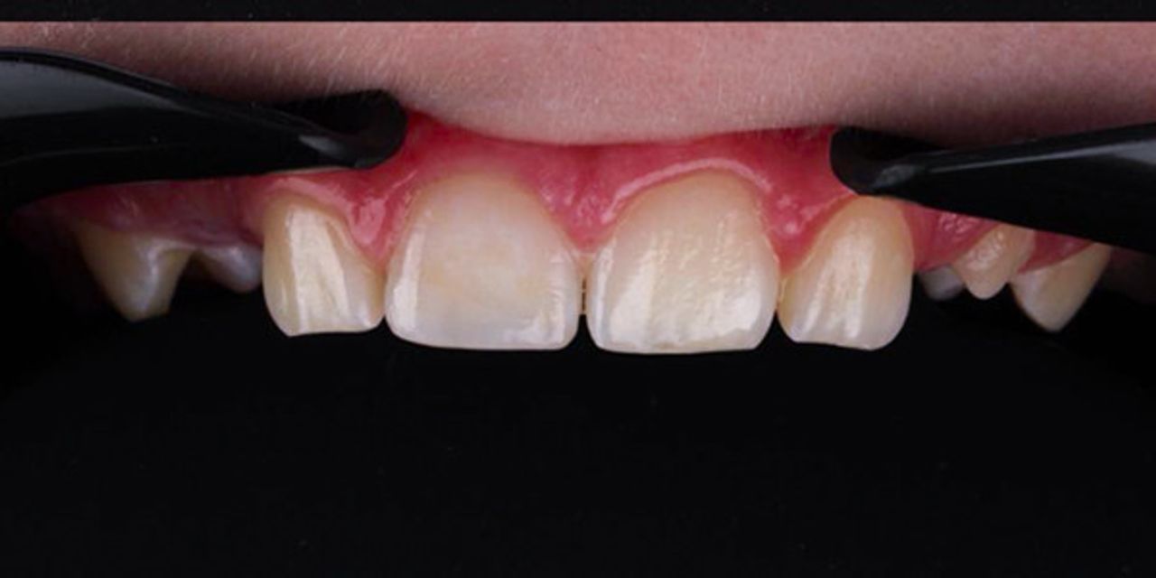
Реставрация переднего зуба. Прогнозируемый результат. Техника стратификации. Современный вариант
/education-service/media/default/34283/a9662407.jpg)
Алексей Сошников
Детали курса
Лекторы
Детали
1ч 27мин
Русский
Программа урока
- Определение показаний. Когда композит лучшее решение
- Подбор цвета. Как всегда попадать в цель
- Виды шаблонов. Мой опыт изготовления самого правильного силиконового ключа
- Подготовка полости: очищение, препарирование, адгезивный протокол.
- Этапы восстановления техникой стратификации по Ванини. Современный, а не то, как работали в 90-х
- Протокол долгосрочной полировки. Только самое важное, а не эти ваши пасты и щетки
Лекторы 1
Главный врач, учредитель стоматологии «Maestro» (Курск).
Лауреат соревнований по художественной реставрации зубов «Призма-чемпионат».
Лектор авторского курса по прямой реставрации.
Автор курса «Основы успешной практики стоматолога-терапевта».
Опинион-лидер (эксперт) Micerium.
Организатор

OHI-S
4.72 (25609 оценок)
OHI-S — ведущая мировая образовательная платформа для стоматологов!
Наш основной продукт — обучение от ведущих мировых спикеров во всех направлениях стоматологии. На нашей платформе вы найдете курсы по всем стоматологическим специальностям. Мы предлагаем широкий спектр образовательных форматов: конгрессы, семинары, практические мастер-классы и онлайн-курсы.
Мы предоставляем обучение на 7 языках: английском, испанском, португальском, немецком, французском, украинском и русском.
Наши офлайн-проекты проходят в самых живописных местах мира: Киото, Флоренция, Рим, Болонья, Вена, Берлин и Прага. Наши клиенты получают уникальную возможность совмещать получение ценных знаний с погружением в культурную среду.
OHI-S — это не просто платформа, а целая экосистема для профессионалов. Наше мобильное приложение, маркетплейс и специализированная социальная сеть объединяют стоматологов со всего мира, создавая мощное сообщество для обмена знаниями и совместного роста.

/education-service/media/default/34283/a9662407.jpg)