/education-service/media/default/46001/4f308398.jpg)
Получите доступ к этому курсу и 2000+ часов обучения с Premium.
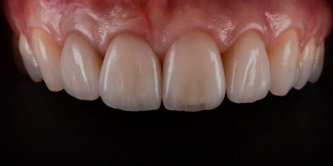
Ceramic Veneers: Interdisciplinary Approach and Updated Protocols
5.00
6 оценок
/education-service/media/default/45996/0ebe7372.jpg)
Giacomo Armani
Детали курса
Уроки курса
Уроки курса
Лекторы
Отзывы
ADA CERP
Получите доступ к этому курсу и 2000+ часов обучения с Premium.
...в год
Рассрочка от NaN undefined в месяц
Что включено в
Этот онлайн-курс
Детали
6 уроков + 1 бесплатно (6ч 16мин)
5 CE Credits

Английский
Доступ к записи на период Premium
Описание
Explore Dr. Giacomo Armani's interdisciplinary approach to ceramic veneers — Solutions for everyday aesthetic cases!
Within the course, you will learn in detail about:
– The ortho-prostho approach to ceramic veneers
– The perio-prostho approach to ceramic veneers
– Guided and vertical preparation techniques
– Adhesive protocols and bonding of ceramic veneers.
Achieve aesthetic, functional, and long-lasting ceramic veneers with the interdisciplinary approach. This course will significantly enhance the patients' appreciation of your work!
Урок 1.Clinical protocols of the first appointment. Diagnosis and treatment planning
– Key points to consider when determining the chief complaint of the patient
– Patient-dentist communication and the patient's expectations
– Protocols of the first appointment and dental photography
– Diagnostic protocols and periodontal evaluation. Perio chart, perio classification
– Analysis of X-rays and CBCT
– Techniques for recording of the centric relation
– The functional aspects of veneers restoration:
- centric occlusion
- centric relation
- vertical dimension of occlusion (VDO)
- application of deprogramming devices.
– Dentist-lab communication
– Wax-up and mock-up
– Protocols of digital intraoral scanning
– DSD protocols using smilecloud software
– Analysis of clinical cases.
Recommended for: Prosthodontists, General dentists.
Урок 2.The Ortho-Prostho Approach to Ceramic Veneers. Introductory lesson
– The idea behind minimal invasiveness ceramic veneers
– Indications to the ortho-prostho approach
– Orthodontic considerations prior to ceramic veneer rehabilitation. Analysis of clinical cases
– Step-by-step analysis of the ortho-prostho approach in clinical cases
– Functional evaluation prior to ceramic veneers
– Aesthetic evaluation prior to ceramic veneers.
Recommended for: Prosthodontists, General dentists.
Урок 3.The Ortho-Prostho Approach to Ceramic Veneers
– The idea behind minimal invasiveness ceramic veneers
– Indications to the ortho-prostho approach
– Orthodontic considerations prior to ceramic veneer rehabilitation. Analysis of clinical cases
– Step-by-step analysis of the ortho-prostho approach in clinical cases
– Functional evaluation prior to ceramic veneers
– Aesthetic evaluation prior to ceramic veneers
– Analysis of clinical cases.
Recommended for: Prosthodontists, General dentists.
Урок 4.The Perio-Prostho Approach to Ceramic Veneers
– Diagnosis and evaluation of gummy smile. The optimal ratio between pink aesthetic and white aesthetic
– Protocols and techniques of aesthetic crown lengthening
– Protocols of guided mucogingival surgery for crown lengthening
– Zenith correction and soft tissue evaluation
– Step-by-step clinical demonstration of the perio-prostho approach to ceramic veneer restorations
– The ortho-perio-prostho approach to ceramic veneers
– Analysis of clinical cases from A to Z.
Recommended for: Prosthodontists, General dentists.
Урок 5.Simulation of the Final Veneer Restoration. DSD, Mock-up and Provisional Veneers
– Protocols of digital wax-up and mock-up
– DSD protocols for planning ceramic veneer rehabilitation;
– Protocols of analogue wax-up and mock-up
– Functional loading test using mock-up
– Mock-up technique using a silicon index key
– Clinical steps of manufacturing of provisional veneers
– Analysis of clinical cases.
Recommended for: Prosthodontists, General dentists.
Урок 6.Different Preparation Techniques for Ceramic Veneer Restoration
– The anatomical limit when preparing for ceramic veneers
– Preparation guide for functional and aesthetic veneers
– Biological width and its role in the longevity of veneers
– Preparation protocols of the incisal edge and cervical margin
– Cervical preparation: subgingival margin, epi-gingival margin, and supragingival margin
– Step-by-step demonstration of guided preparation technique using mock-up and silicon index key
– Finish line preparation: Modified Chamfer, chamfer, and no finish line
– Vertical preparation techniques: indication, advantages, and protocols
– Application of the retraction cord and impression taking protocols: one-stage and two-stage technique
– Techniques for intermaxillary relation recording
– Analysis of clinical cases.
Recommended for: Prosthodontists, General dentists.
Урок 7.Adhesive Protocols on Delivery Day from A to Z
– The try-in paste. Selection of the correct shade of cement
– Protocols of rubberdam isolation
– Classification of rubberdam clamps: anchor and soft tissue clamps
– Protocols for pretreatment of the inner surface of the veneer
– Step-by-step demonstration of bonding of ceramic veneers
– Follow-up appointments and occlusal check
– Review of clinical cases.
Recommended for: Prosthodontists, General dentists.
Курс включает в себя уроки:
/education-service/media/default/46002/5218d445.jpg)
55мин
Урок 1
Clinical protocols of the first appointment. Diagnosis and treatment planning
Giacomo ArmaniПоказать программу урока
0:01
Interdisciplinary Approach for Ceramic Veneer Restoration
5:28
Documentation: Chief Complaint and Patient Communication
10:11
Diagnostic Records: Photographs, Scanning, and Imaging
19:03
Clinical Case: Esthetic Problems and Patient Expectations
23:16
Periodontal Assessment and Stabilization
/education-service/media/default/46003/ae127695.jpg)
1ч 14мин
Урок 3
The Ortho-Prostho Approach to Ceramic Veneers
Giacomo ArmaniПоказать программу урока
0:01
Introduction & webinar objectives
9:23
Interdisciplinary principles and minimal invasiveness
18:36
Webinar program and orthodontic study‑case overview
27:49
Clinical records and data transfer to orthodontist
37:02
Photographic, functional and occlusal diagnosis
/education-service/media/default/46004/3051a7b4.jpg)
1ч
Урок 4
The Perio-Prostho Approach to Ceramic Veneers
Giacomo ArmaniПоказать программу урока
0:01
Introduction: Interdisciplinary Strategy & Minimal Invasiveness
10:11
Gummy Smile: Patient Expectations and Treatment Options
18:05
Decision-Making: Crown Lengthening, Mucogingival Surgery, Orthodontics
24:59
Digital Planning: Diagnostic Wax-ups, Mock-ups and 3D Surgical Guides
31:00
Aesthetic Surgery: Flap Design, Crown Lengthening and Outcomes
Показать еще (3)
Получите доступ к этому и 1200+ курсам с Premium за.
Лекторы 1
Co-founder and owner of Studio Dentistico Armani, specializing in aesthetic and functional direct and indirect restorations, located in Verona, Italy.
Main subject of interest is minimally invasive prosthodontics and the multidisciplinary approach to aesthetic restorations.
Организатор

OHI-S
4.72 (25412 оценок)
OHI-S is the world's leading educational platform for dentists worldwide!
Our core product is training led by the top global speakers in all branches of dentistry. On our platform, you will find courses covering every dental specialty. We offer a comprehensive range of educational formats: congresses, seminars, hands-on workshops, and online courses.
We provide education in 7 languages: English, Spanish, Portuguese, German, French, Ukrainian, Russian.
Our offline projects take place in the most picturesque locations around the world: Kyoto, Florence, Rome, Bologna, Vienna, Berlin, and Prague. Our clients always have a unique opportunity to combine acquiring valuable knowledge with experiencing rich cultural environments.
OHI-S is not just a platform, it’s an entire ecosystem for professionals. Our mobile application, marketplace, and specialized social network connect dentists from all corners of the globe, creating a powerful community for knowledge exchange and collective growth.

/education-service/media/default/52088/89406836.jpg)
/education-service/media/default/45996/0ebe7372.jpg)