/education-service/media/default/46003/ae127695.jpg)
Получите доступ к этому курсу и 2000+ часов обучения с Premium.
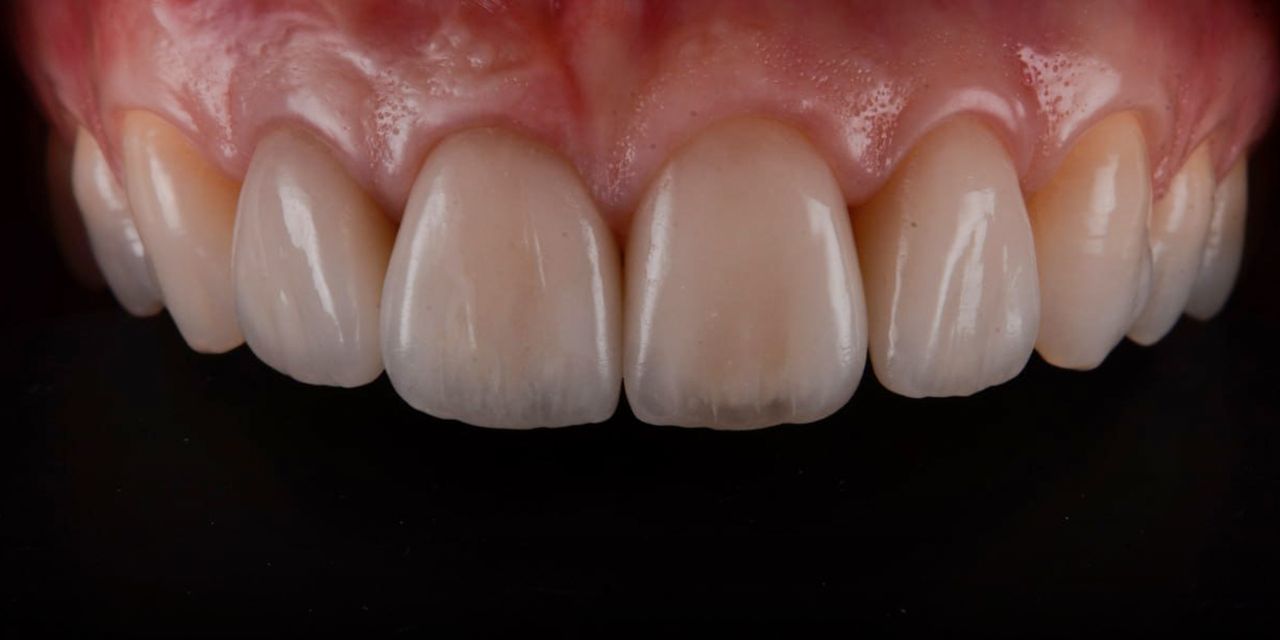
The Ortho-Prostho Approach to Ceramic Veneers
/education-service/media/default/45996/0ebe7372.jpg)
Giacomo Armani
Детали курса
Лекторы
Получите доступ к этому курсу и 2000+ часов обучения с Premium.
...в год
Рассрочка от NaN undefined в месяц
Что включено в
Этот онлайн-курс
Детали
1ч 14мин
1 CE Credits

Английский
Доступ к записи на период Premium
Программа урока
– The idea behind minimal invasiveness ceramic veneers
– Indications to the ortho-prostho approach
– Orthodontic considerations prior to ceramic veneer rehabilitation. Analysis of clinical cases
– Step-by-step analysis of the ortho-prostho approach in clinical cases
– Functional evaluation prior to ceramic veneers
– Aesthetic evaluation prior to ceramic veneers
– Analysis of clinical cases.
Recommended for: Prosthodontists, General dentists.
Урок включен в следующие курсы:
Получите доступ к этому и 1200+ курсам с Premium за.
Лекторы 1
Co-founder and owner of Studio Dentistico Armani, specializing in aesthetic and functional direct and indirect restorations, located in Verona, Italy.
Main subject of interest is minimally invasive prosthodontics and the multidisciplinary approach to aesthetic restorations.
Организатор

OHI-S
4.72 (25411 оценок)
OHI-S is the world's leading educational platform for dentists worldwide!
Our core product is training led by the top global speakers in all branches of dentistry. On our platform, you will find courses covering every dental specialty. We offer a comprehensive range of educational formats: congresses, seminars, hands-on workshops, and online courses.
We provide education in 7 languages: English, Spanish, Portuguese, German, French, Ukrainian, Russian.
Our offline projects take place in the most picturesque locations around the world: Kyoto, Florence, Rome, Bologna, Vienna, Berlin, and Prague. Our clients always have a unique opportunity to combine acquiring valuable knowledge with experiencing rich cultural environments.
OHI-S is not just a platform, it’s an entire ecosystem for professionals. Our mobile application, marketplace, and specialized social network connect dentists from all corners of the globe, creating a powerful community for knowledge exchange and collective growth.

/education-service/media/default/46001/4f308398.jpg)
/education-service/media/default/45996/0ebe7372.jpg)